PPP2R2A Polyclonal Antibody

Cat.#: 163718

Special Price 226.5 USD

Availability: In Stock
- +

Add to cart to get an online quotation

Product Information

  • Product Name
    PPP2R2A Polyclonal Antibody
  • Documents
  • Description
    Polyclonal antibody to PPP2R2A
  • Tested applications
    WB, IHC
  • Species reactivity
    Human, Mouse, Rat
  • Alternative names
    PPP2R2A antibody; B55A antibody; B55ALPHA antibody; PR52A antibody; PR55A antibody; PR55alpha antibody; protein phosphatase 2 regulatory subunit Balpha antibody
  • Isotype
    Rabbit IgG
  • Preparation
    Antigen: Recombinant fusion protein containing a sequence corresponding to amino acids 1-447 of human PPP2R2A (NP_002708.1).
  • Clonality
    Polyclonal
  • Formulation
    PBS with 0.02% sodium azide, 50% glycerol, pH7.3.
  • Storage instructions
    Store at -20℃. Avoid freeze / thaw cycles.
  • Applications
    WB 1:500 - 1:2000
    IHC 1:50 - 1:200
  • Validations

    Western blot - PPP2R2A Polyclonal Antibody

    Western blot - PPP2R2A Polyclonal Antibody

    Western blot analysis of extracts of various cell lines, using PPP2R2A antibody at 1:1000 dilution.Secondary antibody: HRP Goat Anti-Rabbit IgG (H+L) at 1:10000 dilution.Lysates/proteins: 25ug per lane.Blocking buffer: 3% nonfat dry milk in TBST.

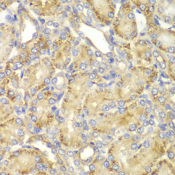
    Immunohistochemistry - PPP2R2A Polyclonal Antibody

    Immunohistochemistry - PPP2R2A Polyclonal Antibody

    Immunohistochemistry of paraffin-embedded rat kidney using PPP2R2A antibody at dilution of 1:100 (40x lens).

    Immunohistochemistry - PPP2R2A Polyclonal Antibody

    Immunohistochemistry - PPP2R2A Polyclonal Antibody

    Immunohistochemistry of paraffin-embedded human esophagus using PPP2R2A antibody at dilution of 1:100 (40x lens).

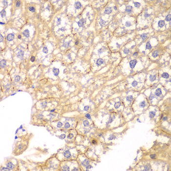
    Immunohistochemistry - PPP2R2A Polyclonal Antibody

    Immunohistochemistry - PPP2R2A Polyclonal Antibody

    Immunohistochemistry of paraffin-embedded mouse liver using PPP2R2A antibody at dilution of 1:100 (40x lens).

  • Background
    The B regulatory subunit might modulate substrate selectivity and catalytic activity, and also might direct the localization of the catalytic enzyme to a particular subcellular compartment.

Please note: All products are "FOR RESEARCH USE ONLY AND ARE NOT INTENDED FOR DIAGNOSTIC OR THERAPEUTIC USE"