PPP1CC Polyclonal Antibody

Cat.#: 164258

Special Price 327.1 USD

Availability: In Stock
- +

Add to cart to get an online quotation

Product Information

  • Product Name
    PPP1CC Polyclonal Antibody
  • Documents
  • Description
    Polyclonal antibody to PPP1CC
  • Tested applications
    WB, IHC, ChIP
  • Species reactivity
    Human, Mouse, Rat
  • Alternative names
    PPP1CC antibody; PP-1G antibody; PP1C antibody; PPP1G antibody; protein phosphatase 1 catalytic subunit gamma antibody
  • Isotype
    Rabbit IgG
  • Preparation
    Antigen: Recombinant fusion protein containing a sequence corresponding to amino acids 1-323 of human PPP1CC (NP_002701.1).
  • Clonality
    Polyclonal
  • Formulation
    PBS with 0.02% sodium azide, 50% glycerol, pH7.3.
  • Storage instructions
    Store at -20℃. Avoid freeze / thaw cycles.
  • Applications
    WB 1:200 - 1:2000
    IHC 1:50 - 1:200
    CHIP 1:50 - 1:200
  • Validations

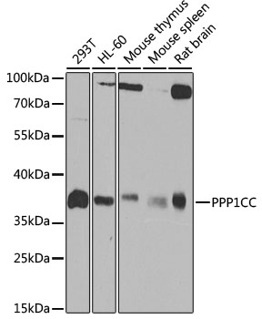
    Western blot - PPP1CC Polyclonal Antibody

    Western blot - PPP1CC Polyclonal Antibody

    Western blot analysis of extracts of various cell lines, using PPP1CC antibody at 1:1000 dilution.Secondary antibody: HRP Goat Anti-Rabbit IgG (H+L) at 1:10000 dilution.Lysates/proteins: 25ug per lane.Blocking buffer: 3% nonfat dry milk in TBST.Detection: ECL Basic Kit .Exposure time: 90s.

    Western blot - PPP1CC Polyclonal Antibody

    Western blot - PPP1CC Polyclonal Antibody

    Western blot analysis of extracts from normal (control) and PPP1CC knockout HeLa cells, using PPP1CC antibody at 1:1000 dilution.Secondary antibody: HRP Goat Anti-Rabbit IgG (H+L) at 1:10000 dilution.Lysates/proteins: 25ug per lane.Blocking buffer: 3% nonfat dry milk in TBST.Detection: ECL Basic Kit .Exposure time: 1s.

    Immunohistochemistry - PPP1CC Polyclonal Antibody

    Immunohistochemistry - PPP1CC Polyclonal Antibody

    Immunohistochemistry of paraffin-embedded human gastric cancer using PPP1CC antibody at dilution of 1:100 (40x lens).

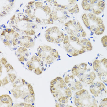
    Immunohistochemistry - PPP1CC Polyclonal Antibody

    Immunohistochemistry - PPP1CC Polyclonal Antibody

    Immunohistochemistry of paraffin-embedded rat brain using PPP1CC antibody at dilution of 1:100 (40x lens).

    Immunohistochemistry - PPP1CC Polyclonal Antibody

    Immunohistochemistry - PPP1CC Polyclonal Antibody

    Immunohistochemistry of paraffin-embedded human stomach using PPP1CC antibody at dilution of 1:100 (40x lens).

  • Background
    Protein phosphatase that associates with over 200 regulatory proteins to form highly specific holoenzymes which dephosphorylate hundreds of biological targets. Protein phosphatase 1 (PP1) is essential for cell division, and participates in the regulation of glycogen metabolism, muscle contractility and protein synthesis. Dephosphorylates RPS6KB1. Involved in regulation of ionic conductances and long-term synaptic plasticity. May play an important role in dephosphorylating substrates such as the postsynaptic density-associated Ca(2+)/calmodulin dependent protein kinase II. Component of the PTW/PP1 phosphatase complex, which plays a role in the control of chromatin structure and cell cycle progression during the transition from mitosis into interphase. In balance with CSNK1D and CSNK1E, determines the circadian period length, through the regulation of the speed and rhythmicity of PER1 and PER2 phosphorylation. May dephosphorylate CSNK1D and CSNK1E. Dephosphorylates the 'Ser-418' residue of FOXP3 in regulatory T-cells (Treg) from patients with rheumatoid arthritis, thereby inactivating FOXP3 and rendering Treg cells functionally defective.

Please note: All products are "FOR RESEARCH USE ONLY AND ARE NOT INTENDED FOR DIAGNOSTIC OR THERAPEUTIC USE"