PPP1CB Polyclonal Antibody

Cat.#: 161673

Special Price 226.5 USD

Availability: In Stock
- +

Add to cart to get an online quotation

Product Information

  • Product Name
    PPP1CB Polyclonal Antibody
  • Documents
  • Description
    Polyclonal antibody to PPP1CB
  • Tested applications
    WB, IHC, IF
  • Species reactivity
    Human
  • Alternative names
    PPP1CB antibody; HEL-S-80p antibody; PP-1B antibody; PP1B antibody; PP1beta antibody; PPP1CD antibody; NSLH2 antibody; protein phosphatase 1 catalytic subunit beta antibody
  • Isotype
    Rabbit IgG
  • Preparation
    Antigen: Recombinant fusion protein containing a sequence corresponding to amino acids 1-327 of human PPP1CB (NP_002700.1).
  • Clonality
    Polyclonal
  • Formulation
    PBS with 0.02% sodium azide, 50% glycerol, pH7.3.
  • Storage instructions
    Store at -20℃. Avoid freeze / thaw cycles.
  • Applications
    WB 1:500 - 1:2000
    IHC 1:50 - 1:200
    IF 1:50 - 1:200
  • Validations

    Western blot - PPP1CB Polyclonal Antibody

    Western blot - PPP1CB Polyclonal Antibody

    Western blot analysis of extracts of SW480 cells, using PPP1CB antibody at 1:1000 dilution.Secondary antibody: HRP Goat Anti-Rabbit IgG (H+L) at 1:10000 dilution.Lysates/proteins: 25ug per lane.Blocking buffer: 3% nonfat dry milk in TBST.

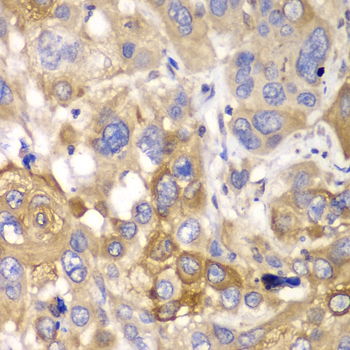
    Immunohistochemistry - PPP1CB Polyclonal Antibody

    Immunohistochemistry - PPP1CB Polyclonal Antibody

    Immunohistochemistry of paraffin-embedded human esophageal cancer using PPP1CB antibody at dilution of 1:100 (40x lens).

    Immunofluorescence - PPP1CB Polyclonal Antibody

    Immunofluorescence - PPP1CB Polyclonal Antibody

    Immunofluorescence analysis of U2OS cells using PPP1CB antibody . Blue: DAPI for nuclear staining.

  • Background
    Protein phosphatase that associates with over 200 regulatory proteins to form highly specific holoenzymes which dephosphorylate hundreds of biological targets. Protein phosphatase (PP1) is essential for cell division, it participates in the regulation of glycogen metabolism, muscle contractility and protein synthesis. Involved in regulation of ionic conductances and long-term synaptic plasticity. Component of the PTW/PP1 phosphatase complex, which plays a role in the control of chromatin structure and cell cycle progression during the transition from mitosis into interphase. In balance with CSNK1D and CSNK1E, determines the circadian period length, through the regulation of the speed and rhythmicity of PER1 and PER2 phosphorylation. May dephosphorylate CSNK1D and CSNK1E. Dephosphorylates the 'Ser-418' residue of FOXP3 in regulatory T-cells (Treg) from patients with rheumatoid arthritis, thereby inactivating FOXP3 and rendering Treg cells functionally defective.

Please note: All products are "FOR RESEARCH USE ONLY AND ARE NOT INTENDED FOR DIAGNOSTIC OR THERAPEUTIC USE"