POU2F1 Polyclonal Antibody

Cat.#: 161671

Special Price 226.5 USD

Availability: In Stock
- +

Add to cart to get an online quotation

Product Information

  • Product Name
    POU2F1 Polyclonal Antibody
  • Documents
  • Description
    Polyclonal antibody to POU2F1
  • Tested applications
    WB, IHC
  • Species reactivity
    Human, Mouse, Rat
  • Alternative names
    POU2F1 antibody; OCT1 antibody; OTF1 antibody; oct-1B antibody; POU class 2 homeobox 1 antibody
  • Isotype
    Rabbit IgG
  • Preparation
    Antigen: Recombinant fusion protein containing a sequence corresponding to amino acids 15-290 of human POU2F1 (NP_001185712.1).
  • Clonality
    Polyclonal
  • Formulation
    PBS with 0.02% sodium azide, 50% glycerol, pH7.3.
  • Storage instructions
    Store at -20℃. Avoid freeze / thaw cycles.
  • Applications
    WB 1:500 - 1:2000
    IHC 1:50 - 1:200
  • Validations

    Western blot - POU2F1 Polyclonal Antibody

    Western blot - POU2F1 Polyclonal Antibody

    Western blot analysis of extracts of various cell lines, using POU2F1 antibody at 1:1000 dilution.Secondary antibody: HRP Goat Anti-Rabbit IgG (H+L) at 1:10000 dilution.Lysates/proteins: 25ug per lane.Blocking buffer: 3% nonfat dry milk in TBST.Detection: ECL Basic Kit .Exposure time: 15s.

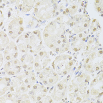
    Immunohistochemistry - POU2F1 Polyclonal Antibody

    Immunohistochemistry - POU2F1 Polyclonal Antibody

    Immunohistochemistry of paraffin-embedded human stomach using POU2F1 Antibody at dilution of 1:100 (40x lens).

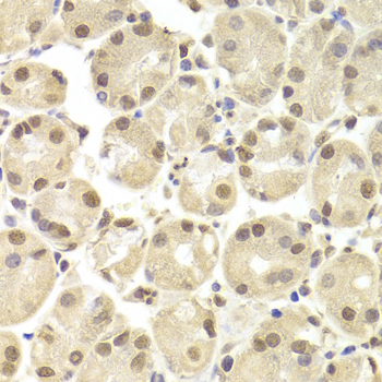
    Immunohistochemistry - POU2F1 Polyclonal Antibody

    Immunohistochemistry - POU2F1 Polyclonal Antibody

    Immunohistochemistry of paraffin-embedded human stomach using POU2F1 Antibody at dilution of 1:100 (40x lens).

  • Background
    Transcription factor that binds to the octamer motif (5'-ATTTGCAT-3') and activates the promoters of the genes for some small nuclear RNAs (snRNA) and of genes such as those for histone H2B and immunoglobulins. Modulates transcription transactivation by NR3C1, AR and PGR (By similarity). In case of human herpes simplex virus (HSV) infection, POU2F1 forms a multiprotein-DNA complex with the viral transactivator protein VP16 and HCFC1 thereby enabling the transcription of the viral immediate early genes.

Please note: All products are "FOR RESEARCH USE ONLY AND ARE NOT INTENDED FOR DIAGNOSTIC OR THERAPEUTIC USE"