POMGNT1 Polyclonal Antibody

Cat.#: 166212

Special Price 226.5 USD

Availability: In Stock
- +

Add to cart to get an online quotation

Product Information

  • Product Name
    POMGNT1 Polyclonal Antibody
  • Documents
  • Description
    Polyclonal antibody to POMGNT1
  • Tested applications
    WB, IHC
  • Species reactivity
    Human, Mouse, Rat
  • Alternative names
    POMGNT1 antibody; GNTI.2 antibody; GnT I.2 antibody; LGMD2O antibody; MEB antibody; MGAT1.2 antibody; RP76 antibody; gnT-I.2 antibody; GnTI.2 antibody; protein O-linked-mannose beta-1,2-N-acetylglucosaminyltransferase 1 antibody
  • Isotype
    Rabbit IgG
  • Preparation
    Antigen: Recombinant fusion protein containing a sequence corresponding to amino acids 411-660 of human POMGNT1 (NP_060209.3).
  • Clonality
    Polyclonal
  • Formulation
    PBS with 0.02% sodium azide, 50% glycerol, pH7.3.
  • Storage instructions
    Store at -20℃. Avoid freeze / thaw cycles.
  • Applications
    WB 1:500 - 1:2000
    IHC 1:50 - 1:100
  • Validations

    Western blot - POMGNT1 Polyclonal Antibody

    Western blot - POMGNT1 Polyclonal Antibody

    Western blot analysis of extracts of various cell lines, using POMGNT1 antibody at 1:1000 dilution.Secondary antibody: HRP Goat Anti-Rabbit IgG (H+L) at 1:10000 dilution.Lysates/proteins: 25ug per lane.Blocking buffer: 3% nonfat dry milk in TBST.Detection: ECL Basic Kit .Exposure time: 60s.

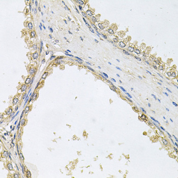
    Immunohistochemistry - POMGNT1 Polyclonal Antibody

    Immunohistochemistry - POMGNT1 Polyclonal Antibody

    Immunohistochemistry of paraffin-embedded human prostate using POMGNT1 antibody at dilution of 1:100 (40x lens).

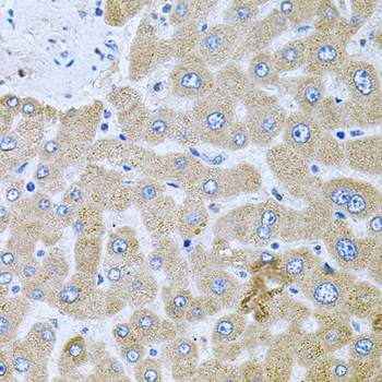
    Immunohistochemistry - POMGNT1 Polyclonal Antibody

    Immunohistochemistry - POMGNT1 Polyclonal Antibody

    Immunohistochemistry of paraffin-embedded human liver injury using POMGNT1 antibody at dilution of 1:100 (40x lens).

  • Background
    Participates in O-mannosyl glycosylation by catalyzing the addition of N-acetylglucosamine to O-linked mannose on glycoproteins. Catalyzes the synthesis of the GlcNAc(beta1-2)Man(alpha1-)O-Ser/Thr moiety on alpha-dystroglycan and other O-mannosylated proteins, providing the necessary basis for the addition of further carbohydrate moieties. Is specific for alpha linked terminal mannose and does not have MGAT3, MGAT4, MGAT5, MGAT7 or MGAT8 activity.

Please note: All products are "FOR RESEARCH USE ONLY AND ARE NOT INTENDED FOR DIAGNOSTIC OR THERAPEUTIC USE"