PLSCR3 Polyclonal Antibody

Cat.#: 161054

Special Price 226.5 USD

Availability: In Stock
- +

Add to cart to get an online quotation

Product Information

  • Product Name
    PLSCR3 Polyclonal Antibody
  • Documents
  • Description
    Polyclonal antibody to PLSCR3
  • Tested applications
    WB, IHC, IF
  • Species reactivity
    Human, Mouse, Rat
  • Alternative names
    PLSCR3 antibody; phospholipid scramblase 3 antibody
  • Isotype
    Rabbit IgG
  • Preparation
    Antigen: Recombinant fusion protein containing a sequence corresponding to amino acids 1-295 of human PLSCR3 (NP_065093.2).
  • Clonality
    Polyclonal
  • Formulation
    PBS with 0.02% sodium azide, 50% glycerol, pH7.3.
  • Storage instructions
    Store at -20℃. Avoid freeze / thaw cycles.
  • Applications
    WB 1:500 - 1:2000
    IHC 1:50 - 1:100
    IF 1:50 - 1:100
  • Validations

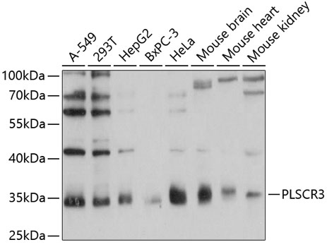
    Western blot - PLSCR3 Polyclonal Antibody

    Western blot - PLSCR3 Polyclonal Antibody

    Western blot analysis of extracts of various cell lines, using PLSCR3 antibody at 1:1000 dilution.Secondary antibody: HRP Goat Anti-Rabbit IgG (H+L) at 1:10000 dilution.Lysates/proteins: 25ug per lane.Blocking buffer: 3% nonfat dry milk in TBST.Detection: ECL Basic Kit .Exposure time: 1s.

  • Background
    May mediate accelerated ATP-independent bidirectional transbilayer migration of phospholipids upon binding calcium ions that results in a loss of phospholipid asymmetry in the plasma membrane. May play a central role in the initiation of fibrin clot formation, in the activation of mast cells and in the recognition of apoptotic and injured cells by the reticuloendothelial system. Seems to play a role in apoptosis, through translocation of cardiolipin from the inner to the outer mitochondrial membrane which promotes BID recruitment and enhances tBid-induced mitochondrial damages.

Please note: All products are "FOR RESEARCH USE ONLY AND ARE NOT INTENDED FOR DIAGNOSTIC OR THERAPEUTIC USE"