PLGF Polyclonal Antibody

Cat.#: 163472

Special Price 226.5 USD

Availability: In Stock
- +

Add to cart to get an online quotation

Product Information

  • Product Name
    PLGF Polyclonal Antibody
  • Documents
  • Description
    Polyclonal antibody to PLGF
  • Tested applications
    WB, IHC
  • Species reactivity
    Human, Mouse
  • Alternative names
    PGF antibody; D12S1900 antibody; PGFL antibody; PIGF antibody; PLGF antibody; PlGF-2 antibody; SHGC-10760 antibody; placenta growth factor antibody
  • Isotype
    Rabbit IgG
  • Preparation
    Antigen: Recombinant fusion protein containing a sequence corresponding to amino acids 19-170 of human PLGF (NP_002623.2).
  • Clonality
    Polyclonal
  • Formulation
    PBS with 0.02% sodium azide, 50% glycerol, pH7.3.
  • Storage instructions
    Store at -20℃. Avoid freeze / thaw cycles.
  • Applications
    WB 1:500 - 1:2000
    IHC 1:50 - 1:200
  • Validations

    Western blot - PLGF Polyclonal Antibody

    Western blot - PLGF Polyclonal Antibody

    Western blot analysis of extracts of various cell lines, using PLGF antibody at 1:1000 dilution.Secondary antibody: HRP Goat Anti-Rabbit IgG (H+L) at 1:10000 dilution.Lysates/proteins: 25ug per lane.Blocking buffer: 3% nonfat dry milk in TBST.Detection: ECL Basic Kit .

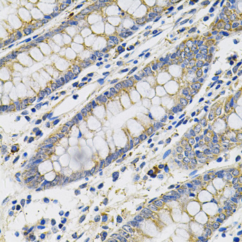
    Immunohistochemistry - PLGF Polyclonal Antibody

    Immunohistochemistry - PLGF Polyclonal Antibody

    Immunohistochemistry of paraffin-embedded human colon using PLGF Antibody at dilution of 1:100 (40x lens).

  • Background
    Growth factor active in angiogenesis and endothelial cell growth, stimulating their proliferation and migration. It binds to the receptor FLT1/VEGFR-1. Isoform PlGF-2 binds NRP1/neuropilin-1 and NRP2/neuropilin-2 in a heparin-dependent manner. Also promotes cell tumor growth.

Please note: All products are "FOR RESEARCH USE ONLY AND ARE NOT INTENDED FOR DIAGNOSTIC OR THERAPEUTIC USE"