PLCD4 Polyclonal Antibody

Cat.#: 165562

Special Price 226.5 USD

Availability: In Stock
- +

Add to cart to get an online quotation

Product Information

  • Product Name
    PLCD4 Polyclonal Antibody
  • Documents
  • Description
    Polyclonal antibody to PLCD4
  • Tested applications
    WB, IF
  • Species reactivity
    Human, Mouse, Rat
  • Alternative names
    PLCD4 antibody; phospholipase C delta 4 antibody
  • Isotype
    Rabbit IgG
  • Preparation
    Antigen: Recombinant fusion protein containing a sequence corresponding to amino acids 1-290 of human PLCD4 (NP_116115.1).
  • Clonality
    Polyclonal
  • Formulation
    PBS with 0.02% sodium azide, 50% glycerol, pH7.3.
  • Storage instructions
    Store at -20℃. Avoid freeze / thaw cycles.
  • Applications
    WB 1:500 - 1:2000
    IF 1:50 - 1:200
  • Validations

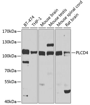
    Western blot - PLCD4 Polyclonal Antibody

    Western blot - PLCD4 Polyclonal Antibody

    Western blot analysis of extracts of various cell lines, using PLCD4 antibody at 1:1000 dilution.Secondary antibody: HRP Goat Anti-Rabbit IgG (H+L) at 1:10000 dilution.Lysates/proteins: 25ug per lane.Blocking buffer: 3% nonfat dry milk in TBST.Detection: ECL Basic Kit .Exposure time: 30s.

    Immunofluorescence - PLCD4 Polyclonal Antibody

    Immunofluorescence - PLCD4 Polyclonal Antibody

    Immunofluorescence analysis of U2OS cells using PLCD4 antibody at dilution of 1:100. Blue: DAPI for nuclear staining.

  • Background
    Hydrolyzes the phosphatidylinositol 4,5-bisphosphate (PIP2) to generate 2 second messenger molecules diacylglycerol (DAG) and inositol 1,4,5-trisphosphate (IP3). DAG mediates the activation of protein kinase C (PKC), while IP3 releases Ca(2+) from intracellular stores. Required for acrosome reaction in sperm during fertilization, probably by acting as an important enzyme for intracellular Ca(2+) mobilization in the zona pellucida-induced acrosome reaction. May play a role in cell growth. Modulates the liver regeneration in cooperation with nuclear PKC. Overexpression up-regulates the Erk signaling pathway and proliferation.

Please note: All products are "FOR RESEARCH USE ONLY AND ARE NOT INTENDED FOR DIAGNOSTIC OR THERAPEUTIC USE"