PITRM1 Polyclonal Antibody

Cat.#: 165820

Special Price 226.5 USD

Availability: In Stock
- +

Add to cart to get an online quotation

Product Information

  • Product Name
    PITRM1 Polyclonal Antibody
  • Documents
  • Description
    Polyclonal antibody to PITRM1
  • Tested applications
    WB, IHC, IF
  • Species reactivity
    Human, Mouse, Rat
  • Alternative names
    PITRM1 antibody; MP1 antibody; PreP antibody; pitrilysin metallopeptidase 1 antibody
  • Isotype
    Rabbit IgG
  • Preparation
    Antigen: Recombinant fusion protein containing a sequence corresponding to amino acids 758-1037 of human PITRM1 (NP_055704.2).
  • Clonality
    Polyclonal
  • Formulation
    PBS with 0.02% sodium azide, 50% glycerol, pH7.3.
  • Storage instructions
    Store at -20℃. Avoid freeze / thaw cycles.
  • Applications
    WB 1:500 - 1:2000
    IHC 1:50 - 1:100
    IF 1:50 - 1:200
  • Validations

    Western blot - PITRM1 Polyclonal Antibody

    Western blot - PITRM1 Polyclonal Antibody

    Western blot analysis of extracts of various cell lines, using PITRM1 antibody at 1:1000 dilution.Secondary antibody: HRP Goat Anti-Rabbit IgG (H+L) at 1:10000 dilution.Lysates/proteins: 25ug per lane.Blocking buffer: 3% nonfat dry milk in TBST.Detection: ECL Basic Kit .Exposure time: 30s.

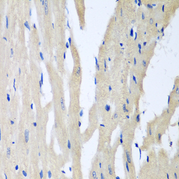
    Immunohistochemistry - PITRM1 Polyclonal Antibody

    Immunohistochemistry - PITRM1 Polyclonal Antibody

    Immunohistochemistry of paraffin-embedded rat heart using PITRM1 antibody at dilution of 1:100 (40x lens).

  • Background
    Metalloendopeptidase of the mitochondrial matrix that functions in peptide cleavage and degradation rather than in protein processing. Has an ATP-independent activity. Specifically cleaves peptides in the range of 5 to 65 residues. Shows a preference for cleavage after small polar residues and before basic residues, but without any positional preference. Degrades the transit peptides of mitochondrial proteins after their cleavage. Also degrades other unstructured peptides. It is also able to degrade amyloid-beta protein 40, one of the peptides produced by APP processing, when it accumulates in mitochondrion. It is a highly efficient protease, at least toward amyloid-beta protein 40. Cleaves that peptide at a specific position and is probably not processive, releasing digested peptides intermediates that can be further cleaved subsequently.

Please note: All products are "FOR RESEARCH USE ONLY AND ARE NOT INTENDED FOR DIAGNOSTIC OR THERAPEUTIC USE"