PIK3R3 Monoclonal Antibody

Cat.#: 160713

Special Price 301.9 USD

Availability: In Stock
- +

Add to cart to get an online quotation

Product Information

  • Product Name
    PIK3R3 Monoclonal Antibody
  • Documents
  • Description
    Monoclonal antibody to PIK3R3
  • Tested applications
    WB, IHC, IF
  • Species reactivity
    Human, Mouse, Rat
  • Alternative names
    PIK3R3 antibody; p55 antibody; p55-GAMMA antibody; p55PIK antibody; phosphoinositide-3-kinase regulatory subunit 3 antibody
  • Isotype
    Rabbit IgG
  • Preparation
    Antigen: Recombinant protein of human PIK3R3
  • Clonality
    Monoclonal
  • Formulation
    PBS with 0.02% sodium azide, 50% glycerol, pH7.3.
  • Storage instructions
    Store at -20℃. Avoid freeze / thaw cycles.
  • Applications
    WB 1:500 - 1:1000
    IHC 1:50 - 1:200
    IF 1:50 - 1:200
  • Validations

    Western blot - PIK3R3 Monoclonal Antibody

    Western blot - PIK3R3 Monoclonal Antibody

    Western blot analysis of extracts of various cell lines, using PIK3R3 antibody .Secondary antibody: HRP Goat Anti-Rabbit IgG (H+L) at 1:10000 dilution.Lysates/proteins: 25ug per lane.Blocking buffer: 3% nonfat dry milk in TBST.

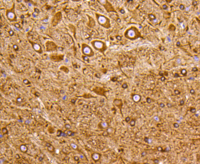
    Immunohistochemistry - PIK3R3 Monoclonal Antibody

    Immunohistochemistry - PIK3R3 Monoclonal Antibody

    Immunohistochemistry of paraffin-embedded mouse brain using PIK3R3 antibody at dilution of 1:100 (40x lens).

    Immunohistochemistry - PIK3R3 Monoclonal Antibody

    Immunohistochemistry - PIK3R3 Monoclonal Antibody

    Immunohistochemistry of paraffin-embedded mouse testis using PIK3R3 antibody at dilution of 1:100 (40x lens).

    Immunofluorescence - PIK3R3 Monoclonal Antibody

    Immunofluorescence - PIK3R3 Monoclonal Antibody

    Immunofluorescence analysis of SH-SY-5Y cells using PIK3R3 antibody .

    Immunofluorescence - PIK3R3 Monoclonal Antibody

    Immunofluorescence - PIK3R3 Monoclonal Antibody

    Immunofluorescence analysis of PC-3M cells using PIK3R3 antibody .

  • Background
    Binds to activated (phosphorylated) protein-tyrosine kinases through its SH2 domain and regulates their kinase activity. During insulin stimulation, it also binds to IRS-1.

Please note: All products are "FOR RESEARCH USE ONLY AND ARE NOT INTENDED FOR DIAGNOSTIC OR THERAPEUTIC USE"