PICK1 Polyclonal Antibody

Cat.#: 161695

Special Price 226.5 USD

Availability: In Stock
- +

Add to cart to get an online quotation

Product Information

  • Product Name
    PICK1 Polyclonal Antibody
  • Documents
  • Description
    Polyclonal antibody to PICK1
  • Tested applications
    IHC, IF
  • Species reactivity
    Human
  • Alternative names
    PICK1 antibody; PICK antibody; PRKCABP antibody; PRKCA-binding protein antibody
  • Isotype
    Rabbit IgG
  • Preparation
    Antigen: A synthetic peptide corresponding to a sequence within amino acids 260-360 of human PICK1 (NP_036539.1).
  • Clonality
    Polyclonal
  • Formulation
    PBS with 0.02% sodium azide, 50% glycerol, pH7.3.
  • Storage instructions
    Store at -20℃. Avoid freeze / thaw cycles.
  • Applications
    IHC 1:50 - 1:200
    IF 1:50 - 1:200
  • Validations

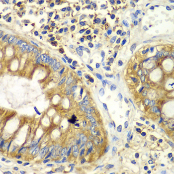
    Immunohistochemistry - PICK1 Polyclonal Antibody

    Immunohistochemistry - PICK1 Polyclonal Antibody

    Immunohistochemistry of paraffin-embedded human colon using PICK1 antibody at dilution of 1:100 (40x lens).

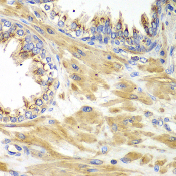
    Immunohistochemistry - PICK1 Polyclonal Antibody

    Immunohistochemistry - PICK1 Polyclonal Antibody

    Immunohistochemistry of paraffin-embedded human prostate using PICK1 antibody at dilution of 1:100 (40x lens).

    Immunohistochemistry - PICK1 Polyclonal Antibody

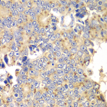
    Immunohistochemistry - PICK1 Polyclonal Antibody

    Immunohistochemistry of paraffin-embedded human prostate cancer using PICK1 antibody at dilution of 1:100 (40x lens).

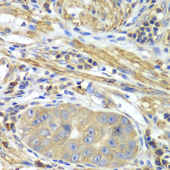
    Immunohistochemistry - PICK1 Polyclonal Antibody

    Immunohistochemistry - PICK1 Polyclonal Antibody

    Immunohistochemistry of paraffin-embedded human gastric cancer using PICK1 antibody at dilution of 1:100 (40x lens).

    Immunofluorescence - PICK1 Polyclonal Antibody

    Immunofluorescence - PICK1 Polyclonal Antibody

    Immunofluorescence analysis of HeLa cells using PICK1 antibody . Blue: DAPI for nuclear staining.

  • Background
    Probable adapter protein that bind to and organize the subcellular localization of a variety of membrane proteins containing some PDZ recognition sequence. Involved in the clustering of various receptors, possibly by acting at the receptor internalization level. Plays a role in synaptic plasticity by regulating the trafficking and internalization of AMPA receptors. May be regulated upon PRKCA activation. May regulate ASIC1/ASIC3 channel. Regulates actin polymerization by inhibiting the actin-nucleating activity of the Arp2/3 complex; the function is competetive with nucleation promoting factors and is linked to neuronal morphology regulation and AMPA receptor (AMPAR) endocytosis. Via interaction with the Arp2/3 complex involved in regulation of synaptic plasicity of excitatory synapses and required for spine shrinkage during long-term depression (LTD). Involved in regulation of astrocyte morphology, antagonistic to Arp2/3 complex activator WASL/N-WASP function.

Please note: All products are "FOR RESEARCH USE ONLY AND ARE NOT INTENDED FOR DIAGNOSTIC OR THERAPEUTIC USE"