Phospho-MAP3K5-S83 pAb

Cat.#: 166426

Special Price 301.9 USD

Availability: In Stock
- +

Add to cart to get an online quotation

Product Information

  • Product Name
    Phospho-MAP3K5-S83 pAb
  • Documents
  • Description
    Polyclonal antibody to Phospho-MAP3K5-S83
  • Tested applications
    WB, IHC
  • Species reactivity
    Human
  • Alternative names
    MAP3K5 antibody; ASK1 antibody; MAPKKK5 antibody; MEKK5 antibody; mitogen-activated protein kinase kinase kinase 5 antibody
  • Isotype
    Rabbit IgG
  • Preparation
    Antigen: A phospho specific peptide corresponding to residues surrounding S83 of human MAP3K5
  • Clonality
    Polyclonal
  • Formulation
    PBS with 0.02% sodium azide, 50% glycerol, pH7.3.
  • Storage instructions
    Store at -20℃. Avoid freeze / thaw cycles.
  • Applications
    WB 1:500 - 1:2000
    IHC 1:50 - 1:100
  • Validations

    Western blot - Phospho-MAP3K5-S83 pAb

    Western blot - Phospho-MAP3K5-S83 pAb

    Western blot analysis of extracts from K562 cells using Phospho-MAP3K5-S83 antibody .Secondary antibody: HRP Goat Anti-Rabbit IgG (H+L) at 1:10000 dilution.Lysates/proteins: 25ug per lane.Blocking buffer: 3% BSA.

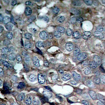
    Immunohistochemistry - Phospho-MAP3K5-S83 pAb

    Immunohistochemistry - Phospho-MAP3K5-S83 pAb

    Immunohistochemistry of paraffin-embedded human breast carcinoma using Phospho-MAP3K5-S83 antibody .

  • Background
    Serine/threonine kinase which acts as an essential component of the MAP kinase signal transduction pathway. Plays an important role in the cascades of cellular responses evoked by changes in the environment. Mediates signaling for determination of cell fate such as differentiation and survival. Plays a crucial role in the apoptosis signal transduction pathway through mitochondria-dependent caspase activation. MAP3K5/ASK1 is required for the innate immune response, which is essential for host defense against a wide range of pathogens. Mediates signal transduction of various stressors like oxidative stress as well as by receptor-mediated inflammatory signals, such as the tumor necrosis factor (TNF) or lipopolysaccharide (LPS). Once activated, acts as an upstream activator of the MKK/JNK signal transduction cascade and the p38 MAPK signal transduction cascade through the phosphorylation and activation of several MAP kinase kinases like MAP2K4/SEK1, MAP2K3/MKK3, MAP2K6/MKK6 and MAP2K7/MKK7. These MAP2Ks in turn activate p38 MAPKs and c-jun N-terminal kinases (JNKs). Both p38 MAPK and JNKs control the transcription factors activator protein-1 (AP-1).

Please note: All products are "FOR RESEARCH USE ONLY AND ARE NOT INTENDED FOR DIAGNOSTIC OR THERAPEUTIC USE"