Phospho-Histone H1.3-T17/Histone H1.4-T17 mAb

Cat.#: 166503

Special Price 301.9 USD

Availability: In Stock
- +

Add to cart to get an online quotation

Product Information

  • Product Name
    Phospho-Histone H1.3-T17/Histone H1.4-T17 mAb
  • Documents
  • Description
    Monoclonal antibody to Phospho-Histone H1.3-T17/Histone H1.4-T17
  • Tested applications
    WB, IHC, IF
  • Species reactivity
    Human, Mouse, Rat
  • Isotype
    Rabbit IgG
  • Preparation
    Antigen: A phospho specific peptide corresponding to residues surrounding T17 of human Histone H1.3
  • Clonality
    Monoclonal
  • Formulation
    PBS with 0.02% sodium azide, 50% glycerol, pH7.3.
  • Storage instructions
    Store at -20℃. Avoid freeze / thaw cycles.
  • Applications
    WB 1:500 - 1:2000
    IHC 1:50 - 1:200
    IF 1:50 - 1:200
  • Validations

    Western blot - Phospho-Histone H1.3-T17/Histone H1.4-T17 mAb

    Western blot - Phospho-Histone H1.3-T17/Histone H1.4-T17 mAb

    Western blot analysis of extracts of various cells, using Phospho-Histone H1.3-T17/Histone H1.4-T17 antibody .Secondary antibody: HRP Goat Anti-Rabbit IgG (H+L) at 1:10000 dilution.Lysates/proteins: 25ug per lane.Blocking buffer: 3% BSA.

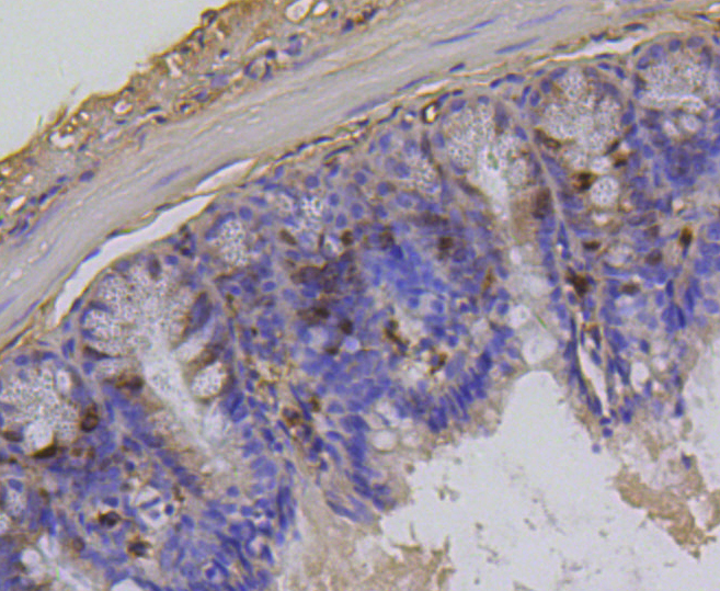
    Immunohistochemistry - Phospho-Histone H1.3-T17/Histone H1.4-T17 mAb

    Immunohistochemistry - Phospho-Histone H1.3-T17/Histone H1.4-T17 mAb

    Immunohistochemistry of paraffin-embedded mouse colon using Phospho-Histone H1.3-T17/Histone H1.4-T17 antibody at dilution of 1:100 (40x lens).

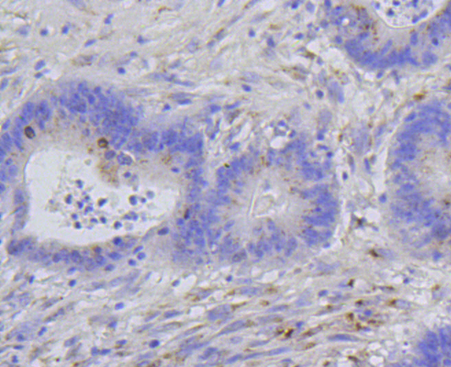
    Immunohistochemistry - Phospho-Histone H1.3-T17/Histone H1.4-T17 mAb

    Immunohistochemistry - Phospho-Histone H1.3-T17/Histone H1.4-T17 mAb

    Immunohistochemistry of paraffin-embedded human colon carcinoma using Phospho-Histone H1.3-T17/Histone H1.4-T17 antibody at dilution of 1:100 (40x lens).

    Immunofluorescence - Phospho-Histone H1.3-T17/Histone H1.4-T17 mAb

    Immunofluorescence - Phospho-Histone H1.3-T17/Histone H1.4-T17 mAb

    Immunofluorescence analysis of NIH-3T3 cells using Phospho-Histone H1.3-T17/Histone H1.4-T17 antibody .

    Immunofluorescence - Phospho-Histone H1.3-T17/Histone H1.4-T17 mAb

    Immunofluorescence - Phospho-Histone H1.3-T17/Histone H1.4-T17 mAb

    Immunofluorescence analysis of CRC cells using Phospho-Histone H1.3-T17/Histone H1.4-T17 antibody .

  • Background
    Histone H1 protein binds to linker DNA between nucleosomes forming the macromolecular structure known as the chromatin fiber. Histones H1 are necessary for the condensation of nucleosome chains into higher-order structured fibers. Acts also as a regulator of individual gene transcription through chromatin remodeling, nucleosome spacing and DNA methylation (By similarity).

Please note: All products are "FOR RESEARCH USE ONLY AND ARE NOT INTENDED FOR DIAGNOSTIC OR THERAPEUTIC USE"