Phospho-FOXO4-S197 pAb

Cat.#: 166349

Special Price 301.9 USD

Availability: In Stock
- +

Add to cart to get an online quotation

Product Information

  • Product Name
    Phospho-FOXO4-S197 pAb
  • Documents
  • Description
    Polyclonal antibody to Phospho-FOXO4-S197
  • Tested applications
    WB, IHC, IF
  • Species reactivity
    Human, Mouse, Rat
  • Alternative names
    FOXO4 antibody; AFX antibody; AFX1 antibody; MLLT7 antibody; forkhead box O4 antibody
  • Isotype
    Rabbit IgG
  • Preparation
    Antigen: A phospho specific peptide corresponding to residues surrounding S197 of human FOXO4
  • Clonality
    Polyclonal
  • Formulation
    PBS with 0.02% sodium azide, 50% glycerol, pH7.3.
  • Storage instructions
    Store at -20℃. Avoid freeze / thaw cycles.
  • Applications
    WB 1:500 - 1:2000
    IHC 1:50 - 1:100
    IF 1:100 - 1:200
  • Validations

    Western blot - Phospho-FOXO4-S197 pAb

    Western blot - Phospho-FOXO4-S197 pAb

    Western blot analysis of extracts from 293 cells using phospho-FOXO4-S197 antibody .Secondary antibody: HRP Goat Anti-Rabbit IgG (H+L) at 1:10000 dilution.Lysates/proteins: 25ug per lane.Blocking buffer: 3% BSA.

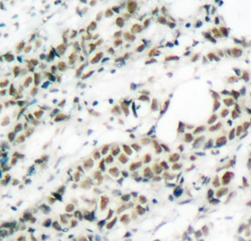
    Immunohistochemistry - Phospho-FOXO4-S197 pAb

    Immunohistochemistry - Phospho-FOXO4-S197 pAb

    Immunohistochemistry of paraffin-embedded human breast carcinoma tissue, using Phospho-FOXO4-S197 antibody .

    Immunofluorescence - Phospho-FOXO4-S197 pAb

    Immunofluorescence - Phospho-FOXO4-S197 pAb

    Immunofluorescence analysis of methanol-fixed MCF-7 cells using Phospho-FOXO4-S197 antibody .

  • Background
    Transcription factor involved in the regulation of the insulin signaling pathway. Binds to insulin-response elements (IREs) and can activate transcription of IGFBP1. Down-regulates expression of HIF1A and suppresses hypoxia-induced transcriptional activation of HIF1A-modulated genes. Also involved in negative regulation of the cell cycle. Involved in increased proteasome activity in embryonic stem cells (ESCs) by activating expression of PSMD11 in ESCs, leading to enhanced assembly of the 26S proteasome, followed by higher proteasome activity.

Please note: All products are "FOR RESEARCH USE ONLY AND ARE NOT INTENDED FOR DIAGNOSTIC OR THERAPEUTIC USE"