Phospho-DOK1-Y398 pAb

Cat.#: 166369

Special Price 301.9 USD

Availability: In Stock
- +

Add to cart to get an online quotation

Product Information

  • Product Name
    Phospho-DOK1-Y398 pAb
  • Documents
  • Description
    Polyclonal antibody to Phospho-DOK1-Y398
  • Tested applications
    WB, IHC
  • Species reactivity
    Human, Mouse, Rat
  • Alternative names
    DOK1 antibody; P62DOK antibody; pp62 antibody; docking protein 1 antibody
  • Isotype
    Rabbit IgG
  • Preparation
    Antigen: A phospho specific peptide corresponding to residues surrounding Y398 of human DOK1
  • Clonality
    Polyclonal
  • Formulation
    PBS with 0.02% sodium azide, 50% glycerol, pH7.3.
  • Storage instructions
    Store at -20℃. Avoid freeze / thaw cycles.
  • Applications
    WB 1:500 - 1:2000
    IHC 1:50 - 1:100
  • Validations

    Western blot - Phospho-DOK1-Y398 pAb

    Western blot - Phospho-DOK1-Y398 pAb

    Western blot analysis of extracts from K562 cells using phospho-DOK1-Y398 antibody .Secondary antibody: HRP Goat Anti-Rabbit IgG (H+L) at 1:10000 dilution.Lysates/proteins: 25ug per lane.Blocking buffer: 3% BSA.

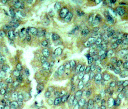
    Immunohistochemistry - Phospho-DOK1-Y398 pAb

    Immunohistochemistry - Phospho-DOK1-Y398 pAb

    Immunohistochemistry of paraffin-embedded human breast carcinoma using Phospho-DOK1-Y398 antibody .

  • Background
    DOK proteins are enzymatically inert adaptor or scaffolding proteins. They provide a docking platform for the assembly of multimolecular signaling complexes. DOK1 appears to be a negative regulator of the insulin signaling pathway. Modulates integrin activation by competing with talin for the same binding site on ITGB3.

Please note: All products are "FOR RESEARCH USE ONLY AND ARE NOT INTENDED FOR DIAGNOSTIC OR THERAPEUTIC USE"