Phospho-CDC25A-S76 pAb

Cat.#: 166398

Special Price 301.9 USD

Availability: In Stock
- +

Add to cart to get an online quotation

Product Information

  • Product Name
    Phospho-CDC25A-S76 pAb
  • Documents
  • Description
    Polyclonal antibody to Phospho-CDC25A-S76
  • Tested applications
    WB, IHC
  • Species reactivity
    Human, Mouse, Rat
  • Alternative names
    CDC25A antibody; CDC25A2 antibody; cell division cycle 25A antibody
  • Isotype
    Rabbit IgG
  • Preparation
    Antigen: A phospho specific peptide corresponding to residues surrounding S76 of human CDC25A
  • Clonality
    Polyclonal
  • Formulation
    PBS with 0.02% sodium azide, 50% glycerol, pH7.3.
  • Storage instructions
    Store at -20℃. Avoid freeze / thaw cycles.
  • Applications
    WB 1:500 - 1:2000
    IHC 1:50 - 1:100
  • Validations

    Western blot - Phospho-CDC25A-S76 pAb

    Western blot - Phospho-CDC25A-S76 pAb

    Western blot analysis of extracts from HeLa cells using phospho-CDC25A-S76 antibody .Secondary antibody: HRP Goat Anti-Rabbit IgG (H+L) at 1:10000 dilution.Lysates/proteins: 25ug per lane.Blocking buffer: 3% BSA.

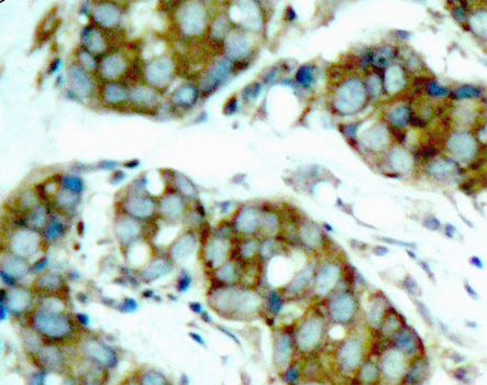
    Immunohistochemistry - Phospho-CDC25A-S76 pAb

    Immunohistochemistry - Phospho-CDC25A-S76 pAb

    Immunohistochemistry of paraffin-embedded human breast carcinoma using phospho-CDC25A-S76 antibody .

  • Background
    Tyrosine protein phosphatase which functions as a dosage-dependent inducer of mitotic progression. Directly dephosphorylates CDK1 and stimulates its kinase activity. Also dephosphorylates CDK2 in complex with cyclin E, in vitro.

Please note: All products are "FOR RESEARCH USE ONLY AND ARE NOT INTENDED FOR DIAGNOSTIC OR THERAPEUTIC USE"