PHKG2 Polyclonal Antibody

Cat.#: 166575

Special Price 226.5 USD

Availability: In Stock
- +

Add to cart to get an online quotation

Product Information

  • Product Name
    PHKG2 Polyclonal Antibody
  • Documents
  • Description
    Polyclonal antibody to PHKG2
  • Tested applications
    WB
  • Species reactivity
    Human, Mouse, Rat
  • Alternative names
    PHKG2 antibody; GSD9C antibody; phosphorylase kinase catalytic subunit gamma 2 antibody
  • Isotype
    Rabbit IgG
  • Preparation
    Antigen: Recombinant fusion protein containing a sequence corresponding to amino acids 237-406 of human PHKG2 (NP_000285.1).
  • Clonality
    Polyclonal
  • Formulation
    PBS with 0.02% sodium azide, 50% glycerol, pH7.3.
  • Storage instructions
    Store at -20℃. Avoid freeze / thaw cycles.
  • Applications
    WB 1:500 - 1:2000
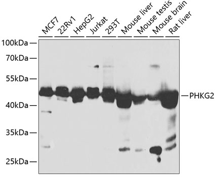
  • Validations

    Western blot - PHKG2 Polyclonal Antibody

    Western blot - PHKG2 Polyclonal Antibody

    Western blot analysis of extracts of various cell lines, using PHKG2 antibody at 1:1000 dilution.Secondary antibody: HRP Goat Anti-Rabbit IgG (H+L) at 1:10000 dilution.Lysates/proteins: 25ug per lane.Blocking buffer: 3% nonfat dry milk in TBST.Detection: ECL Enhanced Kit .Exposure time: 30s.

  • Background
    Catalytic subunit of the phosphorylase b kinase (PHK), which mediates the neural and hormonal regulation of glycogen breakdown (glycogenolysis) by phosphorylating and thereby activating glycogen phosphorylase. May regulate glycogeneolysis in the testis. In vitro, phosphorylates PYGM (By similarity).

Please note: All products are "FOR RESEARCH USE ONLY AND ARE NOT INTENDED FOR DIAGNOSTIC OR THERAPEUTIC USE"