PHB2 Polyclonal Antibody

Cat.#: 164348

Special Price 226.5 USD

Availability: In Stock
- +

Add to cart to get an online quotation

Product Information

  • Product Name
    PHB2 Polyclonal Antibody
  • Documents
  • Description
    Polyclonal antibody to PHB2
  • Tested applications
    WB, IHC, IF
  • Species reactivity
    Human, Mouse, Rat
  • Alternative names
    PHB2 antibody; BAP antibody; BCAP37 antibody; Bap37 antibody; PNAS-141 antibody; REA antibody; hBAP antibody; p22 antibody; prohibitin-2 antibody
  • Isotype
    Rabbit IgG
  • Preparation
    Antigen: Recombinant fusion protein containing a sequence corresponding to amino acids 1-299 of human PHB2 (NP_001138303.1).
  • Clonality
    Polyclonal
  • Formulation
    PBS with 0.02% sodium azide, 50% glycerol, pH7.3.
  • Storage instructions
    Store at -20℃. Avoid freeze / thaw cycles.
  • Applications
    WB 1:500 - 1:2000
    IHC 1:50 - 1:100
    IF 1:50 - 1:100
  • Validations

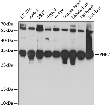
    Western blot - PHB2 Polyclonal Antibody

    Western blot - PHB2 Polyclonal Antibody

    Western blot analysis of extracts of various cell lines, using PHB2 antibody at 1:1000 dilution.Secondary antibody: HRP Goat Anti-Rabbit IgG (H+L) at 1:10000 dilution.Lysates/proteins: 25ug per lane.Blocking buffer: 3% nonfat dry milk in TBST.Detection: ECL Basic Kit .Exposure time: 90s.

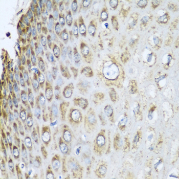
    Immunohistochemistry - PHB2 Polyclonal Antibody

    Immunohistochemistry - PHB2 Polyclonal Antibody

    Immunohistochemistry of paraffin-embedded human esophagus using PHB2 antibody at dilution of 1:100 (40x lens).

  • Background
    Acts as a mediator of transcriptional repression by nuclear hormone receptors via recruitment of histone deacetylases (By similarity). Functions as an estrogen receptor (ER)-selective coregulator that potentiates the inhibitory activities of antiestrogens and represses the activity of estrogens. Competes with NCOA1 for modulation of ER transcriptional activity. Probably involved in regulating mitochondrial respiration activity and in aging.

Please note: All products are "FOR RESEARCH USE ONLY AND ARE NOT INTENDED FOR DIAGNOSTIC OR THERAPEUTIC USE"