PDK3 Polyclonal Antibody

Cat.#: 165667

Special Price 226.5 USD

Availability: In Stock
- +

Add to cart to get an online quotation

Product Information

  • Product Name
    PDK3 Polyclonal Antibody
  • Documents
  • Description
    Polyclonal antibody to PDK3
  • Tested applications
    WB, IHC
  • Species reactivity
    Human, Mouse, Rat
  • Alternative names
    PDK3 antibody; CMTX6 antibody; GS1-358P8.4 antibody; pyruvate dehydrogenase kinase 3 antibody
  • Isotype
    Rabbit IgG
  • Preparation
    Antigen: Recombinant fusion protein containing a sequence corresponding to amino acids 137-406 of human PDK3 (NP_005382.1).
  • Clonality
    Polyclonal
  • Formulation
    PBS with 0.02% sodium azide, 50% glycerol, pH7.3.
  • Storage instructions
    Store at -20℃. Avoid freeze / thaw cycles.
  • Applications
    WB 1:500 - 1:2000
    IHC 1:50 - 1:100
  • Validations

    Western blot - PDK3 Polyclonal Antibody

    Western blot - PDK3 Polyclonal Antibody

    Western blot analysis of extracts of various cell lines, using PDK3 antibody at 1:1000 dilution.Secondary antibody: HRP Goat Anti-Rabbit IgG (H+L) at 1:10000 dilution.Lysates/proteins: 25ug per lane.Blocking buffer: 3% nonfat dry milk in TBST.Detection: ECL Basic Kit .Exposure time: 1s.

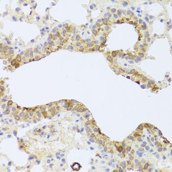
    Immunohistochemistry - PDK3 Polyclonal Antibody

    Immunohistochemistry - PDK3 Polyclonal Antibody

    Immunohistochemistry of paraffin-embedded mouse lung using PDK3 antibody at dilution of 1:100 (40x lens).

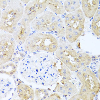
    Immunohistochemistry - PDK3 Polyclonal Antibody

    Immunohistochemistry - PDK3 Polyclonal Antibody

    Immunohistochemistry of paraffin-embedded rat kidney using PDK3 antibody at dilution of 1:100 (40x lens).

  • Background
    Inhibits pyruvate dehydrogenase activity by phosphorylation of the E1 subunit PDHA1, and thereby regulates glucose metabolism and aerobic respiration. Can also phosphorylate PDHA2. Decreases glucose utilization and increases fat metabolism in response to prolonged fasting, and as adaptation to a high-fat diet. Plays a role in glucose homeostasis and in maintaining normal blood glucose levels in function of nutrient levels and under starvation. Plays a role in the generation of reactive oxygen species.

Please note: All products are "FOR RESEARCH USE ONLY AND ARE NOT INTENDED FOR DIAGNOSTIC OR THERAPEUTIC USE"