-
Product Name
PD-L1/CD274 antibody
- Documents
-
Description
PD-L1/CD274 Mouse Monoclonal antibody. Positive IHC detected in human tonsillitis tissue, human heart tissue, human lung cancer tissue, human placenta tissue. Positive IF detected in HeLa cells. Positive FC detected in Raji cells. Positive WB detected in human skeletal muscle tissue, human placenta tissue, pig lung tissue, RAW 264.7 cells. Observed molecular weight by Western-blot: 50 kDa
-
Tested applications
ELISA, WB, IHC, IF, FC
-
Species reactivity
Human, Mouse, Pig; other species not tested.
-
Alternative names
B7 H antibody; B7 H1 antibody; B7 homolog 1 antibody; B7H1 antibody; CD274 antibody; CD274 molecule antibody; PD L1 antibody; PDCD1 ligand 1 antibody; PDCD1L1 antibody; PDCD1LG1 antibody; PDL1 antibody; PD-L1 antibody; PD-L1/CD274 antibody; Programmed death ligand 1 antibody
-
Isotype
Mouse IgG1
-
Preparation
This antibody was obtained by immunization of PD-L1/CD274 recombinant protein (Accession Number: NM_014143). Purification method: Protein G purified.
-
Clonality
Monoclonal
-
Formulation
PBS with 0.02% sodium azide and 50% glycerol pH 7.3.
-
Storage instructions
Store at -20℃. DO NOT ALIQUOT
-
Applications
Recommended Dilution:
WB: 1:500-1:5000
IHC: 1:100-1:500
IF: 1:50-1:500
-
Validations
human skeletal muscle tissue were subjected to SDS PAGE followed by western blot with (PD-L1/CD274 Antibody) at dilution of 1:1000
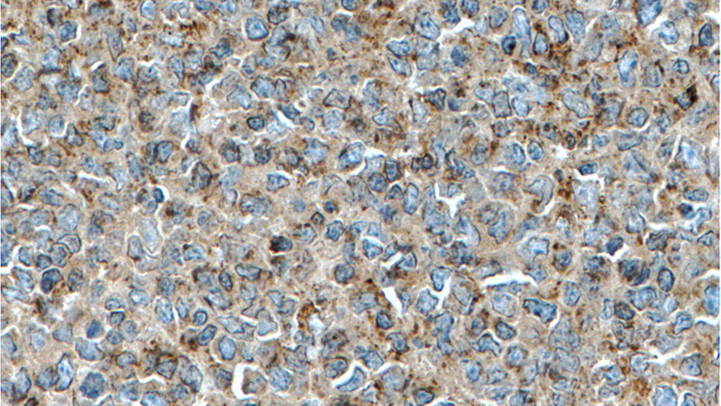
Immunohistochemistry of paraffin-embedded human tonsillitis tissue slide using (PD-L1/CD274 Antibody) at dilution of 1:500 (under 10x lens). heat mediated antigen retrieved with Tris-EDTA buffer(pH9).
Immunohistochemistry of paraffin-embedded human tonsillitis tissue slide using (PD-L1/CD274 Antibody) at dilution of 1:500 (under 40x lens). heat mediated antigen retrieved with Tris-EDTA buffer(pH9).
Immunofluorescent analysis of (10% Formaldehyde) fixed HeLa cells using Catalog No:107462(PD-L1/CD274 Antibody) at dilution of 1:300 and Alexa Fluor 488-congugated AffiniPure Goat Anti-Mouse IgG(H+L)
1X10^6 Raji cells were stained with 0.2ug PD-L1/CD274 antibody (Catalog No:107462, red) and control antibody (blue). Fixed with 4% PFA blocked with 3% BSA (30 min). Alexa Fluor 488-congugated AffiniPure Goat Anti-Mouse IgG(H+L) with dilution 1:1500.
-
Background
Programmed cell death ligand 1(CD274, or B7-H1, PD-L1), is the first member of B7 family to be discovered. B7 family molecules are type I transmembrane proteins belonging to the immunoglobulin superfamily. In concert with their CD28 family receptors, the B7s are key regulators of the adaptive immune response. CD274 is suggested a negative regulator of T and B cell, and play important role in mediating tolerance of lymphocytes to self-antigens. It also involved in the costimulatory signal, essential for T-cell proliferation and production of IL10 and IFNG, in an IL2-dependent and a PDCD1-independent manner. Read more about this antibody on the blog: PD-L1 and Lung Cancer Research: Pathways to Promising Immunotherapies
Related Products / Services
Please note: All products are "FOR RESEARCH USE ONLY AND ARE NOT INTENDED FOR DIAGNOSTIC OR THERAPEUTIC USE"