PARVA antibody

Cat.#: 113597

Size:

Special Price 239.0 USD

Availability: In Stock
- +

Add to cart to get an online quotation

Product Information

  • Product Name
    PARVA antibody
  • Documents
  • Description
    PARVA Rabbit Polyclonal antibody. Positive IHC detected in human prostate cancer. Positive WB detected in human liver tissue, human kidney tissue, Jurkat cells. Observed molecular weight by Western-blot: 42kd
  • Tested applications
    ELISA, WB, IHC
  • Species reactivity
    human, mouse, rat; other species not tested.
  • Alternative names
    PARVA antibody; Alpha parvin antibody; CH ILKBP antibody; Actopaxin antibody; FLJ10793 antibody
  • Isotype
    Rabbit IgG
  • Preparation
    This antibody was obtained by immunization of PARVA recombinant protein (Accession Number: NM_018222). Purification method: Antigen affinity purified.
  • Clonality
    Polyclonal
  • Formulation
    PBS with 0.1% sodium azide and 50% glycerol pH 7.3.
  • Storage instructions
    Store at -20℃. DO NOT ALIQUOT
  • Applications

    Recommended Dilution:

    WB: 1:200-1:2000

    IHC: 1:20-1:200

  • Validations

    human liver tissue were subjected to SDS PAGE followed by western blot with Catalog No:113597(PARVA antibody) at dilution of 1:500

    human liver tissue were subjected to SDS PAGE followed by western blot with Catalog No:113597(PARVA antibody) at dilution of 1:500

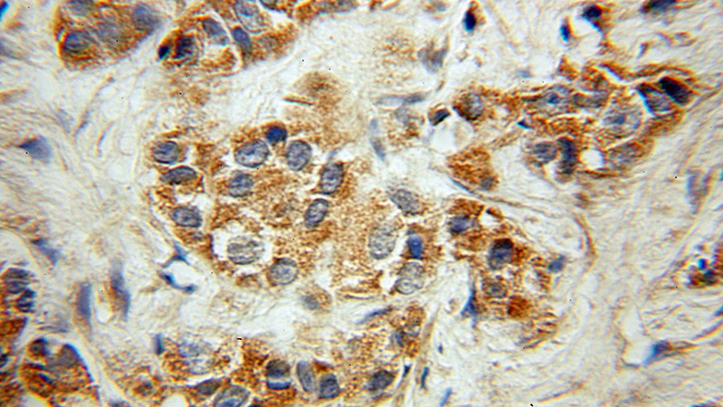
    Immunohistochemical of paraffin-embedded human prostate cancer using Catalog No:113597(PARVA antibody) at dilution of 1:50 (under 10x lens)

    Immunohistochemical of paraffin-embedded human prostate cancer using Catalog No:113597(PARVA antibody) at dilution of 1:50 (under 10x lens)

  • Background
    PARVA represents parvin, alpha

Please note: All products are "FOR RESEARCH USE ONLY AND ARE NOT INTENDED FOR DIAGNOSTIC OR THERAPEUTIC USE"