PARN Polyclonal Antibody

Cat.#: 164253

Special Price 226.5 USD

Availability: In Stock
- +

Add to cart to get an online quotation

Product Information

  • Product Name
    PARN Polyclonal Antibody
  • Documents
  • Description
    Polyclonal antibody to PARN
  • Tested applications
    WB, IHC, IF
  • Species reactivity
    Human
  • Alternative names
    PARN antibody; DAN antibody; DKCB6 antibody; PFBMFT4 antibody; poly-specific ribonuclease antibody
  • Isotype
    Rabbit IgG
  • Preparation
    Antigen: Recombinant fusion protein containing a sequence corresponding to amino acids 1-280 of human PARN (NP_002573.1).
  • Clonality
    Polyclonal
  • Formulation
    PBS with 0.02% sodium azide, 50% glycerol, pH7.3.
  • Storage instructions
    Store at -20℃. Avoid freeze / thaw cycles.
  • Applications
    WB 1:500 - 1:2000
    IHC 1:50 - 1:200
    IF 1:50 - 1:200
  • Validations

    Western blot - PARN Polyclonal Antibody

    Western blot - PARN Polyclonal Antibody

    Western blot analysis of extracts of various cell lines, using PARN antibody at 1:1000 dilution.Secondary antibody: HRP Goat Anti-Rabbit IgG (H+L) at 1:10000 dilution.Lysates/proteins: 25ug per lane.Blocking buffer: 3% nonfat dry milk in TBST.Detection: ECL Basic Kit .Exposure time: 150s.

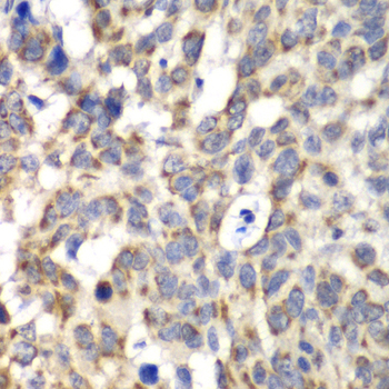
    Immunohistochemistry - PARN Polyclonal Antibody

    Immunohistochemistry - PARN Polyclonal Antibody

    Immunohistochemistry of paraffin-embedded human esophageal cancer using PARN antibody at dilution of 1:100 (40x lens).

    Immunofluorescence - PARN Polyclonal Antibody

    Immunofluorescence - PARN Polyclonal Antibody

    Immunofluorescence analysis of U2OS cells using PARN antibody . Blue: DAPI for nuclear staining.

  • Background
    3'-exoribonuclease that has a preference for poly(A) tails of mRNAs, thereby efficiently degrading poly(A) tails. Exonucleolytic degradation of the poly(A) tail is often the first step in the decay of eukaryotic mRNAs and is also used to silence certain maternal mRNAs translationally during oocyte maturation and early embryonic development. Interacts with both the 3'-end poly(A) tail and the 5'-end cap structure during degradation, the interaction with the cap structure being required for an efficient degradation of poly(A) tails. Involved in nonsense-mediated mRNA decay, a critical process of selective degradation of mRNAs that contain premature stop codons. Also involved in degradation of inherently unstable mRNAs that contain AU-rich elements (AREs) in their 3'-UTR, possibly via its interaction with KHSRP. Probably mediates the removal of poly(A) tails of AREs mRNAs, which constitutes the first step of destabilization. Also able to recognize and trim poly(A) tails of microRNAs such as MIR21 and H/ACA box snoRNAs (small nucleolar RNAs) leading to microRNAs degradation or snoRNA increased stability.

Please note: All products are "FOR RESEARCH USE ONLY AND ARE NOT INTENDED FOR DIAGNOSTIC OR THERAPEUTIC USE"