P2RY11 Polyclonal Antibody

Cat.#: 166620

Special Price 226.5 USD

Availability: In Stock
- +

Add to cart to get an online quotation

Product Information

  • Product Name
    P2RY11 Polyclonal Antibody
  • Documents
  • Description
    Polyclonal antibody to P2RY11
  • Tested applications
    IHC
  • Species reactivity
    Human, Rat
  • Alternative names
    P2RY11 antibody; P2Y11 antibody; P2Y purinoceptor 11 antibody
  • Isotype
    Rabbit IgG
  • Preparation
    Antigen: Recombinant protein of human P2RY11
  • Clonality
    Polyclonal
  • Formulation
    PBS with 0.02% sodium azide, 50% glycerol, pH7.3.
  • Storage instructions
    Store at -20℃. Avoid freeze / thaw cycles.
  • Applications
    IHC 1:50 - 1:100
  • Validations

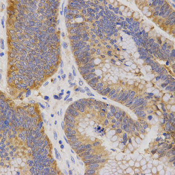
    Immunohistochemistry - P2RY11 Polyclonal Antibody

    Immunohistochemistry - P2RY11 Polyclonal Antibody

    Immunohistochemistry of paraffin-embedded human rectal cancer using P2RY11 antibody at dilution of 1:200 (40x lens).

  • Background
    Receptor for ATP and ADP coupled to G-proteins that activate both phosphatidylinositol-calcium and adenylyl cyclase second messenger systems. Not activated by UTP or UDP.

Please note: All products are "FOR RESEARCH USE ONLY AND ARE NOT INTENDED FOR DIAGNOSTIC OR THERAPEUTIC USE"