OXCT1 Polyclonal Antibody

Cat.#: 165719

Special Price 327.1 USD

Availability: In Stock
- +

Add to cart to get an online quotation

Product Information

  • Product Name
    OXCT1 Polyclonal Antibody
  • Documents
  • Description
    Polyclonal antibody to OXCT1
  • Tested applications
    WB, IHC
  • Species reactivity
    Human, Mouse, Rat
  • Alternative names
    OXCT1 antibody; OXCT antibody; SCOT antibody; 3-oxoacid CoA-transferase 1 antibody
  • Isotype
    Rabbit IgG
  • Preparation
    Antigen: Recombinant fusion protein containing a sequence corresponding to amino acids 261-520 of human OXCT1 (NP_000427.1).
  • Clonality
    Polyclonal
  • Formulation
    PBS with 0.02% sodium azide, 50% glycerol, pH7.3.
  • Storage instructions
    Store at -20℃. Avoid freeze / thaw cycles.
  • Applications
    WB 1:500 - 1:2000
    IHC 1:50 - 1:100
  • Validations

    Western blot - OXCT1 Polyclonal Antibody

    Western blot - OXCT1 Polyclonal Antibody

    Western blot analysis of extracts of various cell lines, using OXCT1 antibody at 1:3000 dilution.Secondary antibody: HRP Goat Anti-Rabbit IgG (H+L) at 1:10000 dilution.Lysates/proteins: 25ug per lane.Blocking buffer: 3% nonfat dry milk in TBST.Detection: ECL Basic Kit .Exposure time: 1s.

    Western blot - OXCT1 Polyclonal Antibody

    Western blot - OXCT1 Polyclonal Antibody

    Western blot analysis of extracts from normal (control) and OXCT1 knockout HeLa cells, using OXCT1 antibody at 1:3000 dilution.Secondary antibody: HRP Goat Anti-Rabbit IgG (H+L) at 1:10000 dilution.Lysates/proteins: 25ug per lane.Blocking buffer: 3% nonfat dry milk in TBST.Detection: ECL Basic Kit .Exposure time: 1s.

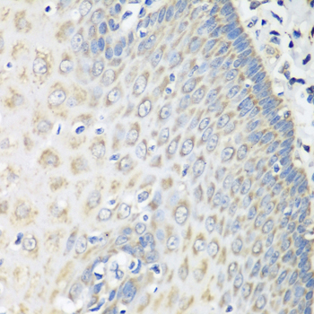
    Immunohistochemistry - OXCT1 Polyclonal Antibody

    Immunohistochemistry - OXCT1 Polyclonal Antibody

    Immunohistochemistry of paraffin-embedded human esophagus using OXCT1 antibody at dilution of 1:100 (40x lens).

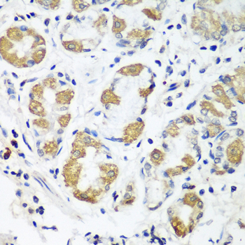
    Immunohistochemistry - OXCT1 Polyclonal Antibody

    Immunohistochemistry - OXCT1 Polyclonal Antibody

    Immunohistochemistry of paraffin-embedded human stomach using OXCT1 antibody at dilution of 1:100 (40x lens).

  • Background
    Key enzyme for ketone body catabolism. Transfers the CoA moiety from succinate to acetoacetate. Formation of the enzyme-CoA intermediate proceeds via an unstable anhydride species formed between the carboxylate groups of the enzyme and substrate.

Please note: All products are "FOR RESEARCH USE ONLY AND ARE NOT INTENDED FOR DIAGNOSTIC OR THERAPEUTIC USE"