-
Product Name
OTUD7B antibody
- Documents
-
Description
OTUD7B Rabbit Polyclonal antibody. Positive IHC detected in human kidney tissue, human heart tissue, mouse heart tissue, mouse kidney tissue. Positive WB detected in Jurkat cells. Positive IP detected in Jurkat cells. Observed molecular weight by Western-blot: 100kd
-
Tested applications
ELISA, WB, IHC, IP
-
Species reactivity
Human,Mouse,Rat; other species not tested.
-
Alternative names
CEZANNE antibody; OTU domain containing 7B antibody; OTUD7B antibody; ZA20D1 antibody; Zinc finger protein Cezanne antibody
-
Isotype
Rabbit IgG
-
Preparation
This antibody was obtained by immunization of OTUD7B recombinant protein (Accession Number: BC020622). Purification method: Antigen affinity purified.
-
Clonality
Polyclonal
-
Formulation
PBS with 0.02% sodium azide and 50% glycerol pH 7.3.
-
Storage instructions
Store at -20℃. DO NOT ALIQUOT
-
Applications
Recommended Dilution:
WB: 1:200-1:2000
IP: 1:200-1:2000
IHC: 1:20-1:200
-
Validations
Jurkat cells were subjected to SDS PAGE followed by western blot with Catalog No:113518(OTUD7B antibody) at dilution of 1:800
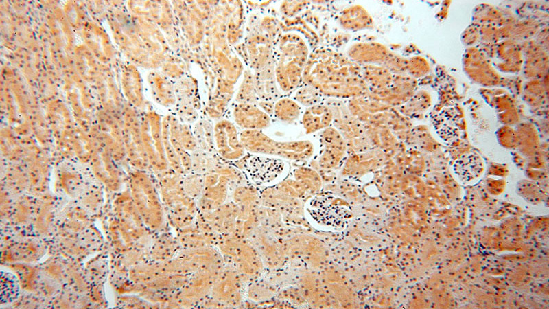
Immunohistochemical of paraffin-embedded human kidney using Catalog No:113518(OTUD7B antibody) at dilution of 1:50 (under 10x lens)
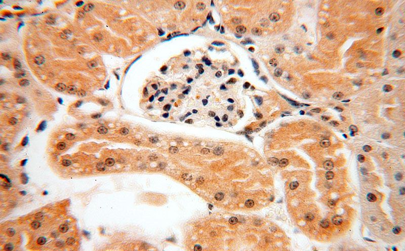
Immunohistochemical of paraffin-embedded human kidney using Catalog No:113518(OTUD7B antibody) at dilution of 1:50 (under 40x lens)
IP Result of anti-OTUD7B (IP:Catalog No:113518, 4ug; Detection:Catalog No:113518 1:800) with Jurkat cells lysate 2500ug.
-
Background
OUTD7B is a member of the A20 family of the deubiquitinating cysteine proteases, which has deubiquitinating activity that is directed towards 'Lys-48' or 'Lys-63'-linked polyubiquitin chains. It plays a key role in the negative feedback regulation of NF-κB signaling in response to multiple stimuli and has been described as central gatekeeper in inflammation and immunity.
-
References
- Hu H, Brittain GC, Chang JH. OTUD7B controls non-canonical NF-κB activation through deubiquitination of TRAF3. Nature. 494(7437):371-4. 2013.
- Luong le A, Fragiadaki M, Smith J. Cezanne regulates inflammatory responses to hypoxia in endothelial cells by targeting TRAF6 for deubiquitination. Circulation research. 112(12):1583-91. 2013.
Related Products / Services
Please note: All products are "FOR RESEARCH USE ONLY AND ARE NOT INTENDED FOR DIAGNOSTIC OR THERAPEUTIC USE"