ORC5L antibody

Cat.#: 113422

Size:

Special Price 239.0 USD

Availability: In Stock
- +

Add to cart to get an online quotation

Product Information

  • Product Name
    ORC5L antibody
  • Documents
  • Description
    ORC5L Rabbit Polyclonal antibody. Positive IHC detected in human pancreas cancer. Positive WB detected in mouse ovary tissue, human kidney tissue. Observed molecular weight by Western-blot: 50kd
  • Tested applications
    ELISA, WB, IHC
  • Species reactivity
    human, mouse, rat; other species not tested.
  • Alternative names
    ORC5L antibody; ORC5P antibody; ORC5T antibody; ORC5 antibody
  • Isotype
    Rabbit IgG
  • Preparation
    This antibody was obtained by immunization of ORC5L recombinant protein (Accession Number: NM_002553). Purification method: Antigen affinity purified.
  • Clonality
    Polyclonal
  • Formulation
    PBS with 0.1% sodium azide and 50% glycerol pH 7.3.
  • Storage instructions
    Store at -20℃. DO NOT ALIQUOT
  • Applications

    Recommended Dilution:

    WB: 1:200-1:2000

    IHC: 1:20-1:200

  • Validations

    mouse ovary tissue were subjected to SDS PAGE followed by western blot with Catalog No:113422(ORC5L antibody) at dilution of 1:400

    mouse ovary tissue were subjected to SDS PAGE followed by western blot with Catalog No:113422(ORC5L antibody) at dilution of 1:400

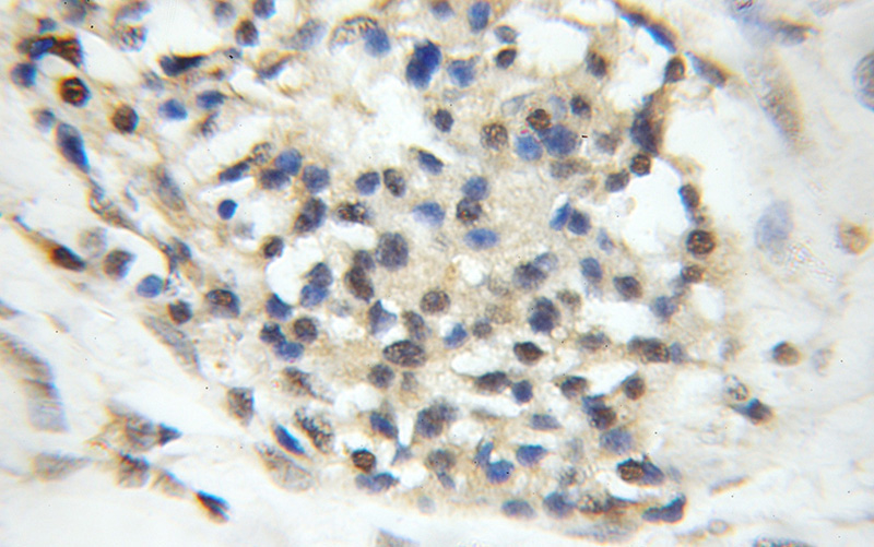
    Immunohistochemical of paraffin-embedded human pancreas cancer using Catalog No:113422(ORC5L antibody) at dilution of 1:50 (under 10x lens)

    Immunohistochemical of paraffin-embedded human pancreas cancer using Catalog No:113422(ORC5L antibody) at dilution of 1:50 (under 10x lens)

  • Background
    Origin recognition complex (ORC) plays an essential role in the initiation of chromosome DNA replication and transcriptional silencing. ORC binds in an ATP-dependent manner to several well-defined autonomously replicating sequences that serve as the chromosomal replication origins. ORC5L is one of the 6 subunits of ORC.

Please note: All products are "FOR RESEARCH USE ONLY AND ARE NOT INTENDED FOR DIAGNOSTIC OR THERAPEUTIC USE"