OAZ1 Polyclonal Antibody

Cat.#: 165367

Special Price 226.5 USD

Availability: In Stock
- +

Add to cart to get an online quotation

Product Information

  • Product Name
    OAZ1 Polyclonal Antibody
  • Documents
  • Description
    Polyclonal antibody to OAZ1
  • Tested applications
    WB, IHC
  • Species reactivity
    Human, Mouse, Rat
  • Alternative names
    OAZ1 antibody; AZ1 antibody; AZI antibody; OAZ antibody; ornithine decarboxylase antizyme 1 antibody
  • Isotype
    Rabbit IgG
  • Preparation
    Antigen: Recombinant fusion protein containing a sequence corresponding to amino acids 1-68 of human OAZ1 (NP_004143.1).
  • Clonality
    Polyclonal
  • Formulation
    PBS with 0.02% sodium azide, 50% glycerol, pH7.3.
  • Storage instructions
    Store at -20℃. Avoid freeze / thaw cycles.
  • Applications
    WB 1:500 - 1:2000
    IHC 1:50 - 1:200
  • Validations

    Western blot - OAZ1 Polyclonal Antibody

    Western blot - OAZ1 Polyclonal Antibody

    Western blot analysis of extracts of various cell lines, using OAZ1 antibody at 1:1000 dilution.Secondary antibody: HRP Goat Anti-Rabbit IgG (H+L) at 1:10000 dilution.Lysates/proteins: 25ug per lane.Blocking buffer: 3% nonfat dry milk in TBST.Detection: ECL Basic Kit .Exposure time: 60s.

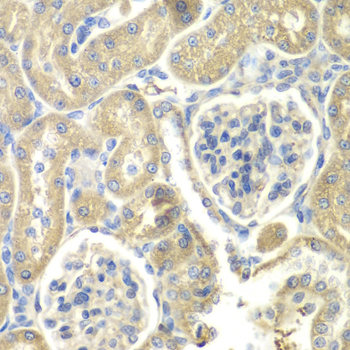
    Immunohistochemistry - OAZ1 Polyclonal Antibody

    Immunohistochemistry - OAZ1 Polyclonal Antibody

    Immunohistochemistry of paraffin-embedded rat kidney using OAZ1 antibody at dilution of 1:100 (40x lens).

  • Background
    Ornithine decarboxylase (ODC) antizyme protein that negatively regulates ODC activity and intracellular polyamine biosynthesis and uptake in response to increased intracellular polyamine levels. Binds to ODC monomers, inhibiting the assembly of the functional ODC homodimer, and targets the monomers for ubiquitin-independent proteolytic destruction by the 26S proteasome. Triggers ODC degradation by inducing the exposure of a cryptic proteasome-interacting surface of ODC. Stabilizes AZIN2 by interfering with its ubiquitination. Also inhibits cellular uptake of polyamines by inactivating the polyamine uptake transporter. SMAD1/OAZ1/PSMB4 complex mediates the degradation of the CREBBP/EP300 repressor SNIP1. Involved in the translocation of AZIN2 from ER-Golgi intermediate compartment (ERGIC) to the cytosol.

Please note: All products are "FOR RESEARCH USE ONLY AND ARE NOT INTENDED FOR DIAGNOSTIC OR THERAPEUTIC USE"