NUP62 Polyclonal Antibody

Cat.#: 163806

Special Price 226.5 USD

Availability: In Stock
- +

Add to cart to get an online quotation

Product Information

  • Product Name
    NUP62 Polyclonal Antibody
  • Documents
  • Description
    Polyclonal antibody to NUP62
  • Tested applications
    WB, IHC, IF
  • Species reactivity
    Human
  • Alternative names
    NUP62 antibody; IBSN antibody; SNDI antibody; p62 antibody; nucleoporin 62 antibody
  • Isotype
    Rabbit IgG
  • Preparation
    Antigen: Recombinant fusion protein containing a sequence corresponding to amino acids 403-522 of human NUP62 (NP_036478.2).
  • Clonality
    Polyclonal
  • Formulation
    PBS with 0.02% sodium azide, 50% glycerol, pH7.3.
  • Storage instructions
    Store at -20℃. Avoid freeze / thaw cycles.
  • Applications
    WB 1:500 - 1:2000
    IHC 1:50 - 1:200
    IF 1:10 - 1:100
  • Validations

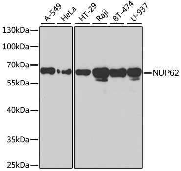
    Western blot - NUP62 Polyclonal Antibody

    Western blot - NUP62 Polyclonal Antibody

    Western blot analysis of extracts of various cell lines, using NUP62 antibody at 1:1000 dilution.Secondary antibody: HRP Goat Anti-Rabbit IgG (H+L) at 1:10000 dilution.Lysates/proteins: 25ug per lane.Blocking buffer: 3% nonfat dry milk in TBST.Detection: ECL Basic Kit .

    Immunohistochemistry - NUP62 Polyclonal Antibody

    Immunohistochemistry - NUP62 Polyclonal Antibody

    Immunohistochemistry of paraffin-embedded human lung cancer using NUP62 antibody at dilution of 1:100 (40x lens).

    Immunofluorescence - NUP62 Polyclonal Antibody

    Immunofluorescence - NUP62 Polyclonal Antibody

    Immunofluorescence analysis of U2OS cells using NUP62 antibody . Blue: DAPI for nuclear staining.

  • Background
    Essential component of the nuclear pore complex. The N-terminal is probably involved in nucleocytoplasmic transport. The C-terminal is involved in protein-protein interaction probably via coiled-coil formation, promotes its association with centrosomes and may function in anchorage of p62 to the pore complex. Plays a role in mitotic cell cycle progression by regulating centrosome segregation, centriole maturation and spindle orientation. It might be involved in protein recruitment to the centrosome after nuclear breakdown.

Please note: All products are "FOR RESEARCH USE ONLY AND ARE NOT INTENDED FOR DIAGNOSTIC OR THERAPEUTIC USE"