NUDT9 antibody

Cat.#: 113364

Size:

Special Price 239.0 USD

Availability: In Stock
- +

Add to cart to get an online quotation

Product Information

  • Product Name
    NUDT9 antibody
  • Documents
  • Description
    NUDT9 Rabbit Polyclonal antibody. Positive IHC detected in human heart. Positive WB detected in mouse brain tissue, Raji cells. Observed molecular weight by Western-blot: 39kd
  • Tested applications
    ELISA, WB, IHC
  • Species reactivity
    human, mouse, rat; other species not tested.
  • Alternative names
    NUDT9 antibody; ADP ribose phosphohydrolase antibody; UNQ3012/PRO9771 antibody; ADPR PPase antibody; Nudix motif 9 antibody
  • Isotype
    Rabbit IgG
  • Preparation
    This antibody was obtained by immunization of NUDT9 recombinant protein (Accession Number: NM_024047). Purification method: Antigen affinity purified.
  • Clonality
    Polyclonal
  • Formulation
    PBS with 0.1% sodium azide and 50% glycerol pH 7.3.
  • Storage instructions
    Store at -20℃. DO NOT ALIQUOT
  • Applications

    Recommended Dilution:

    WB: 1:500-1:5000

    IHC: 1:20-1:200

  • Validations

    mouse brain tissue were subjected to SDS PAGE followed by western blot with Catalog No:113364(NUDT9 antibody) at dilution of 1:1000

    mouse brain tissue were subjected to SDS PAGE followed by western blot with Catalog No:113364(NUDT9 antibody) at dilution of 1:1000

    Immunohistochemical of paraffin-embedded human heart using Catalog No:113364(NUDT9 antibody) at dilution of 1:50 (under 10x lens)

    Immunohistochemical of paraffin-embedded human heart using Catalog No:113364(NUDT9 antibody) at dilution of 1:50 (under 10x lens)

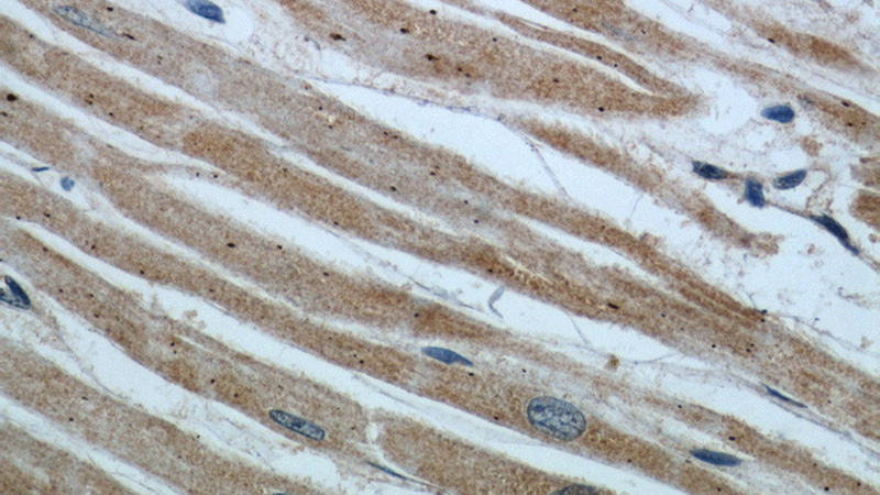
    Immunohistochemical of paraffin-embedded human heart using Catalog No:113364(NUDT9 antibody) at dilution of 1:50 (under 40x lens)

    Immunohistochemical of paraffin-embedded human heart using Catalog No:113364(NUDT9 antibody) at dilution of 1:50 (under 40x lens)

  • Background
    NUDT9 represents nudix (nucleoside diphosphate linked moiety X)-type motif 9

Please note: All products are "FOR RESEARCH USE ONLY AND ARE NOT INTENDED FOR DIAGNOSTIC OR THERAPEUTIC USE"