-
Product Name
NUAK2 antibody
- Documents
-
Description
NUAK2 Rabbit Polyclonal antibody. Positive IHC detected in human kidney tissue, human renal cell carcinoma tissue. Positive IF detected in NIH3T3 cells. Positive WB detected in Y79 cells, HeLa cells. Observed molecular weight by Western-blot: 70 kDa
-
Tested applications
ELISA, WB, IHC, IF
-
Species reactivity
Human,Mouse,Rat; other species not tested.
-
Alternative names
DKFZp434J037 antibody; DKFZp686F01113 antibody; FLJ90349 antibody; NUAK family SNF1 like kinase 2 antibody; NUAK2 antibody; SNARK antibody; SNF1/AMP kinase related kinase antibody
-
Isotype
Rabbit IgG
-
Preparation
This antibody was obtained by immunization of NUAK2 recombinant protein (Accession Number: NM_030952). Purification method: Antigen affinity purified.
-
Clonality
Polyclonal
-
Formulation
PBS with 0.1% sodium azide and 50% glycerol pH 7.3.
-
Storage instructions
Store at -20℃. DO NOT ALIQUOT
-
Applications
Recommended Dilution:
WB: 1:200-1:2000
IHC: 1:20-1:200
IF: 1:20-1:200
-
Validations
Y79 cells were subjected to SDS PAGE followed by western blot with Catalog No:113402(NUAK2 antibody) at dilution of 1:400
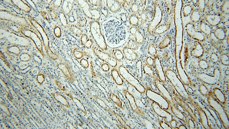
Immunohistochemical of paraffin-embedded human kidney using Catalog No:113402(NUAK2 antibody) at dilution of 1:50 (under 10x lens)
Immunohistochemical of paraffin-embedded human kidney using Catalog No:113402(NUAK2 antibody) at dilution of 1:50 (under 40x lens)
NIH3T3 cells on cover slips fixed and staining with anti-NUAK2 (Catalog No:113402,1:100;Rabbit polyclonal -Red) and anti-pericentrin(centrosome Marker; McAb-Green). The photo shows the centrosome in cell cycle: Interphase, Prophase, Prometaphase, Metaphase, Anaphase and Telophase. DAPI was used to stain the cell nuclei (blue) at a concentration of 1ug/ml.(from Dr. Zineldeen Doaa Hussein)
-
Background
NUAK2(NUAK family SNF1-like kinase 2) is also named as OMPHK2, SNARK and belongs to the SNF1 subfamily. The function of NUAK2 is partly dependent on anti-apoptotic properties against apoptosis induced by death ligand and NUAK2 also has effects on the migration of cancer cells as speculated from studies on myosin filaments and cytoskeleton organization in normal cells(PMID:21911917). Western blot analysis detected NUAK2 expressed in cancer cell lines of diverse tissue origin(PMID:12409306).
-
References
- Rune A, Osler ME, Fritz T, Zierath JR. Regulation of skeletal muscle sucrose, non-fermenting 1/AMP-activated protein kinase-related kinase (SNARK) by metabolic stress and diabetes. Diabetologia. 52(10):2182-9. 2009.
- Namiki T, Yaguchi T, Nakamura K. NUAK2 Amplification Coupled with PTEN Deficiency Promotes Melanoma Development via CDK Activation. Cancer research. 75(13):2708-15. 2015.
- Namiki T, Tanemura A, Valencia JC. AMP kinase-related kinase NUAK2 affects tumor growth, migration, and clinical outcome of human melanoma. Proceedings of the National Academy of Sciences of the United States of America. 108(16):6597-602. 2011.
- Zineldeen DH, Keshk WA, Ghazy AH, El-Barbary AM. Sucrose non-fermenting AMPK related kinase/Pentraxin 3 and DNA damage axis: a gateway to cardiovascular disease in systemic lupus erythematosus among Egyptian patients. Annals of clinical biochemistry. 53(Pt 2):240-51. 2016.
Related Products / Services
Please note: All products are "FOR RESEARCH USE ONLY AND ARE NOT INTENDED FOR DIAGNOSTIC OR THERAPEUTIC USE"