-
Product Name
NTS Polyclonal Antibody
- Documents
-
Description
Polyclonal antibody to NTS
-
Tested applications
WB, IHC
-
Species reactivity
Human, Mouse, Rat
-
Alternative names
NTS antibody; NMN-125 antibody; NN antibody; NT antibody; NT/N antibody; NTS1 antibody; neurotensin antibody
-
Isotype
Rabbit IgG
-
Preparation
Antigen: Recombinant fusion protein containing a sequence corresponding to amino acids 24-148 of human NTS (NP_006174.1).
-
Clonality
Polyclonal
-
Formulation
PBS with 0.02% sodium azide, 50% glycerol, pH7.3.
-
Storage instructions
Store at -20℃. Avoid freeze / thaw cycles.
-
Applications
WB 1:500 - 1:2000
IHC 1:50 - 1:200 -
Validations
Western blot - NTS Polyclonal Antibody
Western blot analysis of extracts of various cell lines, using NTS antibody at 1:3000 dilution.Secondary antibody: HRP Goat Anti-Rabbit IgG (H+L) at 1:10000 dilution.Lysates/proteins: 25ug per lane.Blocking buffer: 3% nonfat dry milk in TBST.Detection: ECL Basic Kit .Exposure time: 90s.
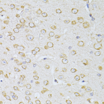
Immunohistochemistry - NTS Polyclonal Antibody
Immunohistochemistry of paraffin-embedded rat brain using NTS antibody at dilution of 1:100 (40x lens).
Immunohistochemistry - NTS Polyclonal Antibody
Immunohistochemistry of paraffin-embedded mouse brain using NTS antibody at dilution of 1:100 (40x lens).
-
Background
Neurotensin may play an endocrine or paracrine role in the regulation of fat metabolism. It causes contraction of smooth muscle.
Related Products / Services
Please note: All products are "FOR RESEARCH USE ONLY AND ARE NOT INTENDED FOR DIAGNOSTIC OR THERAPEUTIC USE"