-
Product Name
NTF3 Polyclonal Antibody
- Documents
-
Description
Polyclonal antibody to NTF3
-
Tested applications
WB, IHC
-
Species reactivity
Human, Mouse
-
Alternative names
NTF3 antibody; HDNF antibody; NGF-2 antibody; NGF2 antibody; NT-3 antibody; NT3 antibody; neurotrophin-3 antibody
-
Isotype
Rabbit IgG
-
Preparation
Antigen: Recombinant protein of human NTF3
-
Clonality
Polyclonal
-
Formulation
PBS with 0.02% sodium azide, 50% glycerol, pH7.3.
-
Storage instructions
Store at -20℃. Avoid freeze / thaw cycles.
-
Applications
WB 1:500 - 1:1000
IHC 1:100 - 1:200 -
Validations
Western blot - NTF3 Polyclonal Antibody
Western blot analysis of extracts of mouse heart, using NTF3 antibody at 1:250 dilution.Secondary antibody: HRP Goat Anti-Rabbit IgG (H+L) at 1:10000 dilution.Lysates/proteins: 25ug per lane.Blocking buffer: 3% nonfat dry milk in TBST.
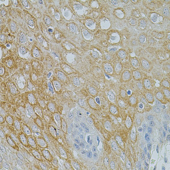
Immunohistochemistry - NTF3 Polyclonal Antibody
Immunohistochemistry of paraffin-embedded human esophagus using NTF3 antibody at dilution of 1:100 (40x lens).
Immunohistochemistry - NTF3 Polyclonal Antibody
Immunohistochemistry of paraffin-embedded mouse kidney using NTF3 antibody at dilution of 1:100 (40x lens).
-
Background
Seems to promote the survival of visceral and proprioceptive sensory neurons.
Related Products / Services
Please note: All products are "FOR RESEARCH USE ONLY AND ARE NOT INTENDED FOR DIAGNOSTIC OR THERAPEUTIC USE"