NSF Polyclonal Antibody

Cat.#: 160185

Special Price 226.5 USD

Availability: In Stock
- +

Add to cart to get an online quotation

Product Information

  • Product Name
    NSF Polyclonal Antibody
  • Documents
  • Description
    Polyclonal antibody to NSF
  • Tested applications
    WB, IHC, IF
  • Species reactivity
    Human, Mouse, Rat
  • Alternative names
    NSF antibody; SEC18 antibody; SKD2 antibody; vesicle-fusing ATPase antibody
  • Isotype
    Rabbit IgG
  • Preparation
    Antigen: Recombinant fusion protein containing a sequence corresponding to amino acids 1-250 of human NSF (NP_006169.2).
  • Clonality
    Polyclonal
  • Formulation
    PBS with 0.02% sodium azide, 50% glycerol, pH7.3.
  • Storage instructions
    Store at -20℃. Avoid freeze / thaw cycles.
  • Applications
    WB 1:500 - 1:2000
    IHC 1:50 - 1:100
    IF 1:50 - 1:200
  • Validations

    Western blot - NSF Polyclonal Antibody

    Western blot - NSF Polyclonal Antibody

    Western blot analysis of extracts of various cell lines, using NSF antibody at 1:1000 dilution.Secondary antibody: HRP Goat Anti-Rabbit IgG (H+L) at 1:10000 dilution.Lysates/proteins: 25ug per lane.Blocking buffer: 3% nonfat dry milk in TBST.Detection: ECL Basic Kit .Exposure time: 15s.

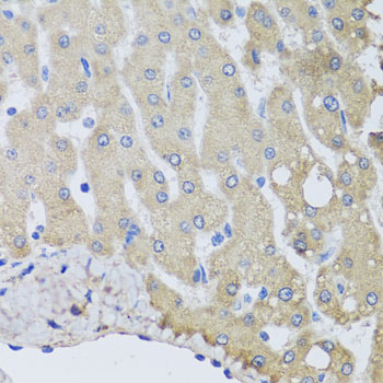
    Immunohistochemistry - NSF Polyclonal Antibody

    Immunohistochemistry - NSF Polyclonal Antibody

    Immunohistochemistry of paraffin-embedded human liver injury using NSF antibody at dilution of 1:100 (40x lens).

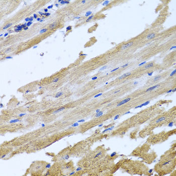
    Immunohistochemistry - NSF Polyclonal Antibody

    Immunohistochemistry - NSF Polyclonal Antibody

    Immunohistochemistry of paraffin-embedded rat heart using NSF antibody at dilution of 1:100 (40x lens).

  • Background
    Required for vesicle-mediated transport. Catalyzes the fusion of transport vesicles within the Golgi cisternae. Is also required for transport from the endoplasmic reticulum to the Golgi stack. Seems to function as a fusion protein required for the delivery of cargo proteins to all compartments of the Golgi stack independent of vesicle origin. Interaction with AMPAR subunit GRIA2 leads to influence GRIA2 membrane cycling (By similarity).

Please note: All products are "FOR RESEARCH USE ONLY AND ARE NOT INTENDED FOR DIAGNOSTIC OR THERAPEUTIC USE"