NR5A2 Polyclonal Antibody

Cat.#: 163358

Special Price 226.5 USD

Availability: In Stock
- +

Add to cart to get an online quotation

Product Information

  • Product Name
    NR5A2 Polyclonal Antibody
  • Documents
  • Description
    Polyclonal antibody to NR5A2
  • Tested applications
    IHC
  • Species reactivity
    Human
  • Alternative names
    NR5A2 antibody; B1F antibody; B1F2 antibody; CPF antibody; FTF antibody; FTZ-F1 antibody; FTZ-F1beta antibody; LRH-1 antibody; LRH1 antibody; hB1F-2 antibody; nuclear receptor subfamily 5 group A member 2 antibody
  • Isotype
    Rabbit IgG
  • Preparation
    Antigen: Recombinant fusion protein containing a sequence corresponding to amino acids 1-140 of human NR5A2 (NP_003813.1).
  • Clonality
    Polyclonal
  • Formulation
    PBS with 0.02% sodium azide, 50% glycerol, pH7.3.
  • Storage instructions
    Store at -20℃. Avoid freeze / thaw cycles.
  • Applications
    IHC 1:50 - 1:200
  • Validations

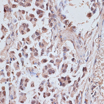
    Immunohistochemistry - NR5A2 Polyclonal Antibody

    Immunohistochemistry - NR5A2 Polyclonal Antibody

    Immunohistochemistry of paraffin-embedded human lung cancer using NR5A2 antibody at dilution of 1:100 (40x lens).

  • Background
    Nuclear receptor that acts as a key metabolic sensor by regulating the expression of genes involved in bile acid synthesis, cholesterol homeostasis and triglyceride synthesis. Together with the oxysterol receptors NR1H3/LXR-alpha and NR1H2/LXR-beta, acts as an essential transcriptional regulator of lipid metabolism. Plays an anti-inflammatory role during the hepatic acute phase response by acting as a corepressor: inhibits the hepatic acute phase response by preventing dissociation of the N-Cor corepressor complex. Binds to the sequence element 5'-AACGACCGACCTTGAG-3' of the enhancer II of hepatitis B virus genes, a critical cis-element of their expression and regulation. May be responsible for the liver-specific activity of enhancer II, probably in combination with other hepatocyte transcription factors. Key regulator of cholesterol 7-alpha-hydroxylase gene (CYP7A) expression in liver. May also contribute to the regulation of pancreas-specific genes and play important roles in embryonic development.

Please note: All products are "FOR RESEARCH USE ONLY AND ARE NOT INTENDED FOR DIAGNOSTIC OR THERAPEUTIC USE"