-
Product Name
NPFFR2 antibody
- Documents
-
Description
NPFFR2 Rabbit Polyclonal antibody. Positive IHC detected in human small intestine tissue, human placenta tissue, human testis tissue.
-
Tested applications
ELISA, IHC
-
Species reactivity
Human; other species not tested.
-
Alternative names
G protein coupled receptor 74 antibody; GPR74 antibody; HLWAR77 antibody; neuropeptide FF receptor 2 antibody; NPFFR2 antibody
-
Isotype
Rabbit IgG
-
Preparation
This antibody was obtained by immunization of Peptide (Accession Number: NM_053036). Purification method: Antigen affinity purified.
-
Clonality
Polyclonal
-
Formulation
PBS with 0.1% sodium azide and 50% glycerol pH 7.3.
-
Storage instructions
Store at -20℃. DO NOT ALIQUOT
-
Applications
Recommended Dilution:
IHC: 1:20-1:200
-
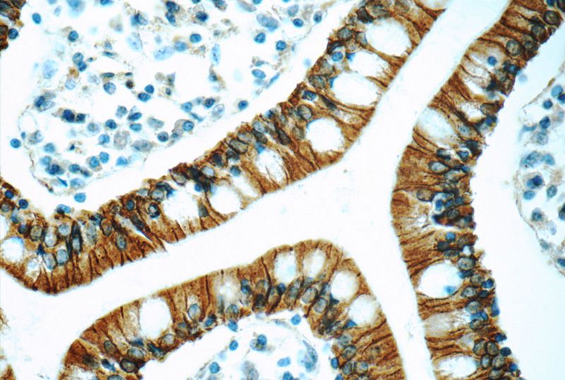
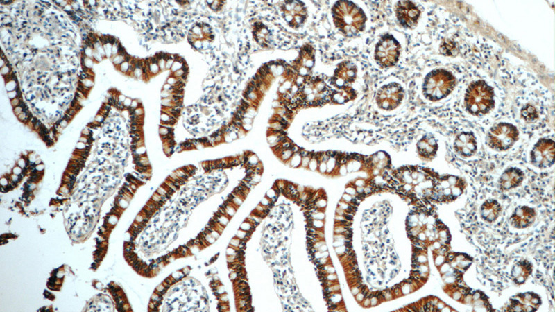
Validations
Immunohistochemistry of paraffin-embedded human small intestine tissue slide using Catalog No:113212(NPFFR2 Antibody) at dilution of 1:50 (under 10x lens)
Immunohistochemistry of paraffin-embedded human small intestine tissue slide using Catalog No:113212(NPFFR2 Antibody) at dilution of 1:50 (under 40x lens)
-
Background
NPFFR2, also named as GPR74, NPFF2 and NPGPR, belongs to the G-protein coupled receptor 1 family. NPFFR2 is a receptor for NPAF (A-18-F-amide) and NPFF (F-8-F-amide) neuropeptides which also known as morphine-modulating peptides. NPFFr2 can also be activated by a variety of naturally occurring or synthetic FMRF-amide like ligands. NPFFR2 mediates its action by association with G proteins that activate a phosphatidylinositol-calcium second messenger system. The antibody can recognize isoform1, isoform2 and isoform3 of NPFFR2.
Related Products / Services
Please note: All products are "FOR RESEARCH USE ONLY AND ARE NOT INTENDED FOR DIAGNOSTIC OR THERAPEUTIC USE"