NOTCH2 Polyclonal Antibody

Cat.#: 160106

Special Price 226.5 USD

Availability: In Stock
- +

Add to cart to get an online quotation

Product Information

  • Product Name
    NOTCH2 Polyclonal Antibody
  • Documents
  • Description
    Polyclonal antibody to NOTCH2
  • Tested applications
    WB, IHC
  • Species reactivity
    Human, Mouse
  • Alternative names
    NOTCH2 antibody; AGS2 antibody; HJCYS antibody; hN2 antibody; notch 2 antibody
  • Isotype
    Rabbit IgG
  • Preparation
    Antigen: Recombinant fusion protein containing a sequence corresponding to amino acids 2242-2471 of human NOTCH2 (NP_077719.2).
  • Clonality
    Polyclonal
  • Formulation
    PBS with 0.02% sodium azide, 50% glycerol, pH7.3.
  • Storage instructions
    Store at -20℃. Avoid freeze / thaw cycles.
  • Applications
    WB 1:500 - 1:2000
    IHC 1:100 - 1:200
  • Validations

    Western blot - NOTCH2 Polyclonal Antibody

    Western blot - NOTCH2 Polyclonal Antibody

    Western blot analysis of extracts of various cell lines, using NOTCH2 antibody at 1:1000 dilution.Secondary antibody: HRP Goat Anti-Rabbit IgG (H+L) at 1:10000 dilution.Lysates/proteins: 25ug per lane.Blocking buffer: 3% nonfat dry milk in TBST.Detection: ECL Basic Kit .Exposure time: 5s.

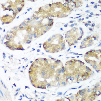
    Immunohistochemistry - NOTCH2 Polyclonal Antibody

    Immunohistochemistry - NOTCH2 Polyclonal Antibody

    Immunohistochemistry of paraffin-embedded human stomach using NOTCH2 antibody at dilution of 1:100 (40x lens).

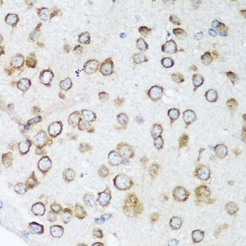
    Immunohistochemistry - NOTCH2 Polyclonal Antibody

    Immunohistochemistry - NOTCH2 Polyclonal Antibody

    Immunohistochemistry of paraffin-embedded mouse brain using NOTCH2 antibody at dilution of 1:100 (40x lens).

  • Background
    Functions as a receptor for membrane-bound ligands Jagged-1 (JAG1), Jagged-2 (JAG2) and Delta-1 (DLL1) to regulate cell-fate determination. Upon ligand activation through the released notch intracellular domain (NICD) it forms a transcriptional activator complex with RBPJ/RBPSUH and activates genes of the enhancer of split locus. Affects the implementation of differentiation, proliferation and apoptotic programs (By similarity). Involved in bone remodeling and homeostasis. In collaboration with RELA/p65 enhances NFATc1 promoter activity and positively regulates RANKL-induced osteoclast differentiation. Positively regulates self-renewal of liver cancer cells.

Please note: All products are "FOR RESEARCH USE ONLY AND ARE NOT INTENDED FOR DIAGNOSTIC OR THERAPEUTIC USE"