NME4 Polyclonal Antibody

Cat.#: 165812

Special Price 226.5 USD

Availability: In Stock
- +

Add to cart to get an online quotation

Product Information

  • Product Name
    NME4 Polyclonal Antibody
  • Documents
  • Description
    Polyclonal antibody to NME4
  • Tested applications
    WB, IHC
  • Species reactivity
    Human, Mouse, Rat
  • Alternative names
    NME4 antibody; NDPK-D antibody; NM23H4 antibody; nm23-H4 antibody; NME/NM23 nucleoside diphosphate kinase 4 antibody
  • Isotype
    Rabbit IgG
  • Preparation
    Antigen: Recombinant fusion protein containing a sequence corresponding to amino acids 1-187 of human NME4 (NP_005000.1).
  • Clonality
    Polyclonal
  • Formulation
    PBS with 0.02% sodium azide, 50% glycerol, pH7.3.
  • Storage instructions
    Store at -20℃. Avoid freeze / thaw cycles.
  • Applications
    WB 1:500 - 1:2000
    IHC 1:50 - 1:100
  • Validations

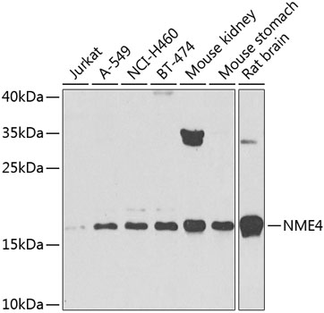
    Western blot - NME4 Polyclonal Antibody

    Western blot - NME4 Polyclonal Antibody

    Western blot analysis of extracts of various cell lines, using NME4 antibody at 1:1000 dilution.Secondary antibody: HRP Goat Anti-Rabbit IgG (H+L) at 1:10000 dilution.Lysates/proteins: 25ug per lane.Blocking buffer: 3% nonfat dry milk in TBST.Detection: ECL Basic Kit .Exposure time: 60s.

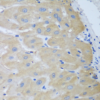
    Immunohistochemistry - NME4 Polyclonal Antibody

    Immunohistochemistry - NME4 Polyclonal Antibody

    Immunohistochemistry of paraffin-embedded human liver using NME4 antibody at dilution of 1:100 (40x lens).

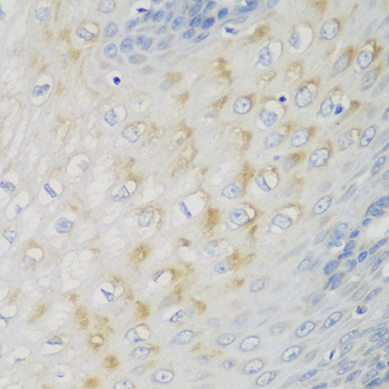
    Immunohistochemistry - NME4 Polyclonal Antibody

    Immunohistochemistry - NME4 Polyclonal Antibody

    Immunohistochemistry of paraffin-embedded human esophagus using NME4 antibody at dilution of 1:100 (40x lens).

  • Background
    Major role in the synthesis of nucleoside triphosphates other than ATP. The ATP gamma phosphate is transferred to the NDP beta phosphate via a ping-pong mechanism, using a phosphorylated active-site intermediate. Through the catalyzed exchange of gamma-phosphate between di- and triphosphonucleosides participates in regulation of intracellular nucleotide homeostasis. Binds to anionic phospholipids, predominantly to cardiolipin; the binding inhibits its phosphotransfer activity. Acts as mitochondria-specific NDK; its association with cardiolipin-containing mitochondrial inner membrane is coupled to respiration suggesting that ADP locally regenerated in the mitochondrion innermembrane space by its activity is directly taken up via ANT ADP/ATP translocase into the matrix space to stimulate respiratory ATP regeneration. Proposed to increase GTP-loading on dynamin-related GTPase OPA1 in mitochondria. In vitro can induce liposome cross-linking suggesting that it can cross-link inner and outer membranes to form contact sites, and promotes intermembrane migration of anionic phosphoplipids. Promotes the redistribution of cardiolipin between the mitochondrial inner membrane and outer membrane which is implicated in pro-apoptotic signaling.

Please note: All products are "FOR RESEARCH USE ONLY AND ARE NOT INTENDED FOR DIAGNOSTIC OR THERAPEUTIC USE"