NELFE Polyclonal Antibody

Cat.#: 164073

Special Price 226.5 USD

Availability: In Stock
- +

Add to cart to get an online quotation

Product Information

  • Product Name
    NELFE Polyclonal Antibody
  • Documents
  • Description
    Polyclonal antibody to NELFE
  • Tested applications
    WB, IHC, IF
  • Species reactivity
    Human, Mouse
  • Alternative names
    NELFE antibody; D6S45 antibody; NELF-E antibody; RD antibody; RDBP antibody; RDP antibody; negative elongation factor E antibody
  • Isotype
    Rabbit IgG
  • Preparation
    Antigen: Recombinant fusion protein containing a sequence corresponding to amino acids 1-280 of human NELFE (NP_002895.3).
  • Clonality
    Polyclonal
  • Formulation
    PBS with 0.02% sodium azide, 50% glycerol, pH7.3.
  • Storage instructions
    Store at -20℃. Avoid freeze / thaw cycles.
  • Applications
    WB 1:500 - 1:2000
    IHC 1:50 - 1:200
    IF 1:50 - 1:200
  • Validations

    Western blot - NELFE Polyclonal Antibody

    Western blot - NELFE Polyclonal Antibody

    Western blot analysis of extracts of various cell lines, using NELFE antibody at 1:1000 dilution.Secondary antibody: HRP Goat Anti-Rabbit IgG (H+L) at 1:10000 dilution.Lysates/proteins: 25ug per lane.Blocking buffer: 3% nonfat dry milk in TBST.Detection: ECL Basic Kit .Exposure time: 90s.

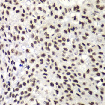
    Immunohistochemistry - NELFE Polyclonal Antibody

    Immunohistochemistry - NELFE Polyclonal Antibody

    Immunohistochemistry of paraffin-embedded human lung cancer using NELFE antibody at dilution of 1:100 (40x lens).

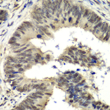
    Immunohistochemistry - NELFE Polyclonal Antibody

    Immunohistochemistry - NELFE Polyclonal Antibody

    Immunohistochemistry of paraffin-embedded human colon carcinoma using NELFE antibody at dilution of 1:100 (40x lens).

    Immunohistochemistry - NELFE Polyclonal Antibody

    Immunohistochemistry - NELFE Polyclonal Antibody

    Immunohistochemistry of paraffin-embedded mouse Intestine using NELFE antibody at dilution of 1:100 (40x lens).

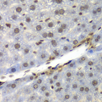
    Immunohistochemistry - NELFE Polyclonal Antibody

    Immunohistochemistry - NELFE Polyclonal Antibody

    Immunohistochemistry of paraffin-embedded mouse liver using NELFE antibody at dilution of 1:100 (40x lens).

    Immunofluorescence - NELFE Polyclonal Antibody

    Immunofluorescence - NELFE Polyclonal Antibody

    Immunofluorescence analysis of A-549 cells using NELFE antibody .

  • Background
    Essential component of the NELF complex, a complex that negatively regulates the elongation of transcription by RNA polymerase II. The NELF complex, which acts via an association with the DSIF complex and causes transcriptional pausing, is counteracted by the P-TEFb kinase complex. Provides the strongest RNA binding activity of the NELF complex and may initially recruit the NELF complex to RNA.; (Microbial infection) The NELF complex is involved in HIV-1 latency possibly involving recruitment of PCF11 to paused RNA polymerase II.

Please note: All products are "FOR RESEARCH USE ONLY AND ARE NOT INTENDED FOR DIAGNOSTIC OR THERAPEUTIC USE"