NELF antibody

Cat.#: 113108

Size:

Special Price 239.0 USD

Availability: In Stock
- +

Add to cart to get an online quotation

Product Information

  • Product Name
    NELF antibody
  • Documents
  • Description
    NELF Rabbit Polyclonal antibody. Positive WB detected in HeLa cells, human brain tissue, human colon tissue, mouse testis tissue. Positive IHC detected in human colon cancer tissue. Observed molecular weight by Western-blot: 54-60 kDa
  • Tested applications
    ELISA, IHC, WB
  • Species reactivity
    Human,Mouse,Rat; other species not tested.
  • Alternative names
    nasal embryonic LHRH factor antibody; NELF antibody; NSMF antibody
  • Isotype
    Rabbit IgG
  • Preparation
    This antibody was obtained by immunization of NELF recombinant protein (Accession Number: BC016862). Purification method: Antigen affinity purified.
  • Clonality
    Polyclonal
  • Formulation
    PBS with 0.1% sodium azide and 50% glycerol pH 7.3.
  • Storage instructions
    Store at -20℃. DO NOT ALIQUOT
  • Applications

    Recommended Dilution:

    WB: 1:500-1:5000

    IHC: 1:20-1:200

  • Validations

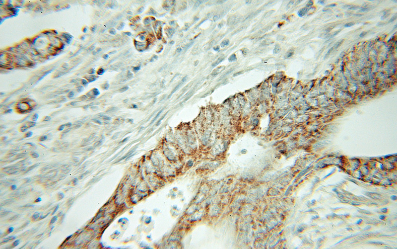
    Immunohistochemical of paraffin-embedded human colon cancer using Catalog No:113108(NELF antibody) at dilution of 1:100 (under 10x lens)

    Immunohistochemical of paraffin-embedded human colon cancer using Catalog No:113108(NELF antibody) at dilution of 1:100 (under 10x lens)

    HeLa cells were subjected to SDS PAGE followed by western blot with Catalog No:113108(NELF Antibody) at dilution of 1:1000

    HeLa cells were subjected to SDS PAGE followed by western blot with Catalog No:113108(NELF Antibody) at dilution of 1:1000

  • Background
    NSMF, also named as NELF (Nasal embryonic LHRH factor), couples NMDA-sensitive glutamate receptor signaling to the nucleus and triggers long-lasting changes in the cytoarchitecture of dendrites and spine synapse processes. NSMF has some isoforms with MW 44 kDa and 55-60 kDa. This antibody recognizes all the isoforms.

Please note: All products are "FOR RESEARCH USE ONLY AND ARE NOT INTENDED FOR DIAGNOSTIC OR THERAPEUTIC USE"