NEDD9 Polyclonal Antibody

Cat.#: 163814

Special Price 226.5 USD

Availability: In Stock
- +

Add to cart to get an online quotation

Product Information

  • Product Name
    NEDD9 Polyclonal Antibody
  • Documents
  • Description
    Polyclonal antibody to NEDD9
  • Tested applications
    WB, IHC, IF
  • Species reactivity
    Human, Rat
  • Alternative names
    NEDD9 antibody; CAS-L antibody; CAS2 antibody; CASL antibody; CASS2 antibody; HEF1 antibody; enhancer of filamentation 1 antibody
  • Isotype
    Rabbit IgG
  • Preparation
    Antigen: Recombinant fusion protein containing a sequence corresponding to amino acids 60-174 of human NEDD9 (NP_892011.2).
  • Clonality
    Polyclonal
  • Formulation
    PBS with 0.02% sodium azide, 50% glycerol, pH7.3.
  • Storage instructions
    Store at -20℃. Avoid freeze / thaw cycles.
  • Applications
    WB 1:500 - 1:2000
    IHC 1:50 - 1:200
    IF 1:50 - 1:200
  • Validations

    Western blot - NEDD9 Polyclonal Antibody

    Western blot - NEDD9 Polyclonal Antibody

    Western blot analysis of extracts of HeLa cells, using NEDD9 antibody at 1:1000 dilution.Secondary antibody: HRP Goat Anti-Rabbit IgG (H+L) at 1:10000 dilution.Lysates/proteins: 25ug per lane.Blocking buffer: 3% nonfat dry milk in TBST.Detection: ECL Basic Kit .Exposure time: 60s.

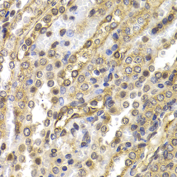
    Immunohistochemistry - NEDD9 Polyclonal Antibody

    Immunohistochemistry - NEDD9 Polyclonal Antibody

    Immunohistochemistry of paraffin-embedded rat kidney using NEDD9 antibody at dilution of 1:200 (40x lens).

    Immunofluorescence - NEDD9 Polyclonal Antibody

    Immunofluorescence - NEDD9 Polyclonal Antibody

    Immunofluorescence analysis of U2OS cells using NEDD9 antibody . Blue: DAPI for nuclear staining.

  • Background
    Docking protein which plays a central coordinating role for tyrosine-kinase-based signaling related to cell adhesion. May function in transmitting growth control signals between focal adhesions at the cell periphery and the mitotic spindle in response to adhesion or growth factor signals initiating cell proliferation. May play an important role in integrin beta-1 or B cell antigen receptor (BCR) mediated signaling in B- and T-cells. Integrin beta-1 stimulation leads to recruitment of various proteins including CRK, NCK and SHPTP2 to the tyrosine phosphorylated form.

Please note: All products are "FOR RESEARCH USE ONLY AND ARE NOT INTENDED FOR DIAGNOSTIC OR THERAPEUTIC USE"