NEDD8 antibody

Cat.#: 113098

Size:

Special Price 239.0 USD

Availability: In Stock
- +

Add to cart to get an online quotation

Product Information

  • Product Name
    NEDD8 antibody
  • Documents
  • Description
    NEDD8 Rabbit Polyclonal antibody. Positive IHC detected in human colon cancer tissue. Positive WB detected in mouse brain tissue, human heart tissue. Observed molecular weight by Western-blot: 6-10 kDa
  • Tested applications
    ELISA, WB, IHC
  • Species reactivity
    Human,Mouse,Rat; other species not tested.
  • Alternative names
    cul nedd8 antibody; FLJ43224 antibody; Nedd 8 antibody; NEDD8 antibody; Neddylin antibody; Ubiquitin like protein Nedd8 antibody
  • Isotype
    Rabbit IgG
  • Preparation
    This antibody was obtained by immunization of NEDD8 recombinant protein (Accession Number: NM_006156). Purification method: Antigen affinity purified.
  • Clonality
    Polyclonal
  • Formulation
    PBS with 0.02% sodium azide and 50% glycerol pH 7.3.
  • Storage instructions
    Store at -20℃. DO NOT ALIQUOT
  • Applications

    Recommended Dilution:

    WB: 1:500-1:5000

    IHC: 1:20-1:200

  • Validations

    mouse brain tissue were subjected to SDS PAGE followed by western blot with Catalog No:113098(NEDD8 antibody) at dilution of 1:800

    mouse brain tissue were subjected to SDS PAGE followed by western blot with Catalog No:113098(NEDD8 antibody) at dilution of 1:800

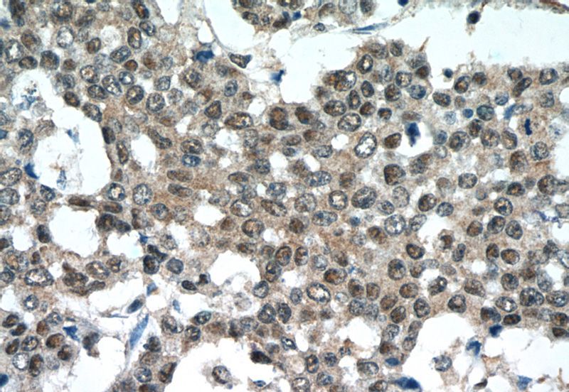
    Immunohistochemistry of paraffin-embedded human colon cancer tissue slide using Catalog No:113098(NEDD8 Antibody) at dilution of 1:50 (under 40x lens)

    Immunohistochemistry of paraffin-embedded human colon cancer tissue slide using Catalog No:113098(NEDD8 Antibody) at dilution of 1:50 (under 40x lens)

  • Background
    NEDD8 (neural precursor cell-expressed developmentally down-regulated gene 8) is a small ubiquitin-like protein that shares 60% sequence identity and 80% homology with ubiquitin [PMID:9353319]. NEDD8 is conjugated to substrate proteins in a process known as neddylation. NEDD8 forms a thioester bond with APPBP1-Uba3, the E1 enzyme. Activated NEDD8 then transfers to Ubc12, the E2 enzyme . Ultimately, E2 loaded with NEDD8 binds a substrate protein lysine residue and forms an isopeptide bond by E3 ligase [PMID:18802447].
  • References
    • Lu B, Al-Ramahi I, Valencia A. Identification of NUB1 as a suppressor of mutant Huntington toxicity via enhanced protein clearance. Nature neuroscience. 16(5):562-70. 2013.

Please note: All products are "FOR RESEARCH USE ONLY AND ARE NOT INTENDED FOR DIAGNOSTIC OR THERAPEUTIC USE"