NDUFA7 Polyclonal Antibody

Cat.#: 165871

Special Price 327.1 USD

Availability: In Stock
- +

Add to cart to get an online quotation

Product Information

  • Product Name
    NDUFA7 Polyclonal Antibody
  • Documents
  • Description
    Polyclonal antibody to NDUFA7
  • Tested applications
    WB, IHC
  • Species reactivity
    Human, Mouse, Rat
  • Alternative names
    NDUFA7 antibody; B14.5a antibody; CI-B14.5a antibody; NADH:ubiquinone oxidoreductase subunit A7 antibody
  • Isotype
    Rabbit IgG
  • Preparation
    Antigen: Recombinant fusion protein containing a sequence corresponding to amino acids 1-113 of human NDUFA7 (NP_004992.2).
  • Clonality
    Polyclonal
  • Formulation
    PBS with 0.02% sodium azide, 50% glycerol, pH7.3.
  • Storage instructions
    Store at -20℃. Avoid freeze / thaw cycles.
  • Applications
    WB 1:500 - 1:2000
    IHC 1:50 - 1:100
  • Validations

    Western blot - NDUFA7 Polyclonal Antibody

    Western blot - NDUFA7 Polyclonal Antibody

    Western blot analysis of extracts of various cell lines, using NDUFA7 antibody at 1:1000 dilution.Secondary antibody: HRP Goat Anti-Rabbit IgG (H+L) at 1:10000 dilution.Lysates/proteins: 25ug per lane.Blocking buffer: 3% nonfat dry milk in TBST.Detection: ECL Basic Kit .Exposure time: 30s.

    Western blot - NDUFA7 Polyclonal Antibody

    Western blot - NDUFA7 Polyclonal Antibody

    Western blot analysis of extracts from normal (control) and NDUFA7 knockout 293T cells, using NDUFA7 antibody at 1:1000 dilution.Secondary antibody: HRP Goat Anti-Rabbit IgG (H+L) at 1:10000 dilution.Lysates/proteins: 25ug per lane.Blocking buffer: 3% nonfat dry milk in TBST.Detection: ECL Basic Kit .Exposure time: 5s.

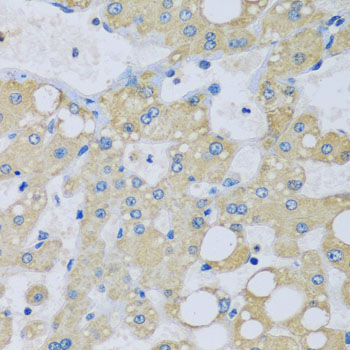
    Immunohistochemistry - NDUFA7 Polyclonal Antibody

    Immunohistochemistry - NDUFA7 Polyclonal Antibody

    Immunohistochemistry of paraffin-embedded human liver injury using NDUFA7 antibody at dilution of 1:100 (40x lens).

  • Background
    Accessory subunit of the mitochondrial membrane respiratory chain NADH dehydrogenase (Complex I), that is believed not to be involved in catalysis. Complex I functions in the transfer of electrons from NADH to the respiratory chain. The immediate electron acceptor for the enzyme is believed to be ubiquinone.

Please note: All products are "FOR RESEARCH USE ONLY AND ARE NOT INTENDED FOR DIAGNOSTIC OR THERAPEUTIC USE"