NDP Polyclonal Antibody

Cat.#: 161093

Special Price 226.5 USD

Availability: In Stock
- +

Add to cart to get an online quotation

Product Information

  • Product Name
    NDP Polyclonal Antibody
  • Documents
  • Description
    Polyclonal antibody to NDP
  • Tested applications
    IHC
  • Species reactivity
    Rat
  • Alternative names
    NDP antibody; EVR2 antibody; FEVR antibody; ND antibody; norrin antibody
  • Isotype
    Rabbit IgG
  • Preparation
    Antigen: Recombinant fusion protein containing a sequence corresponding to amino acids 25-133 of human NDP (NP_000257.1).
  • Clonality
    Polyclonal
  • Formulation
    PBS with 0.02% sodium azide, 50% glycerol, pH7.3.
  • Storage instructions
    Store at -20℃. Avoid freeze / thaw cycles.
  • Applications
    IHC 1:50 - 1:100
  • Validations

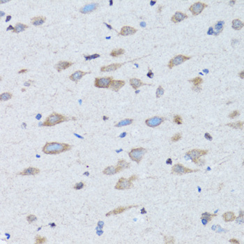
    Immunohistochemistry - NDP Polyclonal Antibody

    Immunohistochemistry - NDP Polyclonal Antibody

    Immunohistochemistry of paraffin-embedded rat brain using NDP antibody at dilution of 1:100 (40x lens).

  • Background
    Activates the canonical Wnt signaling pathway through FZD4 and LRP5 coreceptor. Plays a central role in retinal vascularization by acting as a ligand for FZD4 that signals via stabilizing beta-catenin (CTNNB1) and activating LEF/TCF-mediated transcriptional programs. Acts in concert with TSPAN12 to activate FZD4 independently of the Wnt-dependent activation of FZD4, suggesting the existence of a Wnt-independent signaling that also promote accumulation the beta-catenin (CTNNB1). May be involved in a pathway that regulates neural cell differentiation and proliferation. Possible role in neuroectodermal cell-cell interaction.

Please note: All products are "FOR RESEARCH USE ONLY AND ARE NOT INTENDED FOR DIAGNOSTIC OR THERAPEUTIC USE"