NAT8 Polyclonal Antibody

Cat.#: 166652

Special Price 226.5 USD

Availability: In Stock
- +

Add to cart to get an online quotation

Product Information

  • Product Name
    NAT8 Polyclonal Antibody
  • Documents
  • Description
    Polyclonal antibody to NAT8
  • Tested applications
    WB, IHC
  • Species reactivity
    Human, Mouse, Rat
  • Alternative names
    NAT8 antibody; ATase2 antibody; CCNAT antibody; CML1 antibody; GLA antibody; Hcml1 antibody; TSC501 antibody; TSC510 antibody; N-acetyltransferase 8 antibody
  • Isotype
    Rabbit IgG
  • Preparation
    Antigen: Recombinant protein of human NAT8
  • Clonality
    Polyclonal
  • Formulation
    PBS with 0.02% sodium azide, 50% glycerol, pH7.3.
  • Storage instructions
    Store at -20℃. Avoid freeze / thaw cycles.
  • Applications
    WB 1:500 - 1:2000
    IHC 1:50 - 1:100
  • Validations

    Western blot - NAT8 Polyclonal Antibody

    Western blot - NAT8 Polyclonal Antibody

    Western blot analysis of extracts of various cell lines, using NAT8 antibody at 1:500 dilution.Secondary antibody: HRP Goat Anti-Rabbit IgG (H+L) at 1:10000 dilution.Lysates/proteins: 25ug per lane.Blocking buffer: 3% nonfat dry milk in TBST.Detection: ECL Basic Kit .Exposure time: 90s.

    Immunohistochemistry - NAT8 Polyclonal Antibody

    Immunohistochemistry - NAT8 Polyclonal Antibody

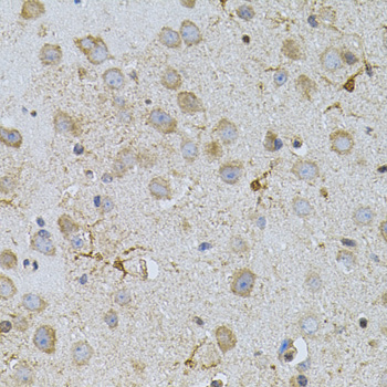
    Immunohistochemistry of paraffin-embedded mouse brain using NAT8 antibody (40x lens).

    Immunohistochemistry - NAT8 Polyclonal Antibody

    Immunohistochemistry - NAT8 Polyclonal Antibody

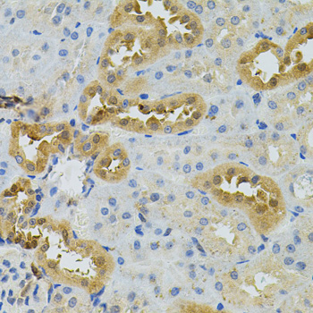
    Immunohistochemistry of paraffin-embedded rat kidney using NAT8 antibody (40x lens).

    Immunohistochemistry - NAT8 Polyclonal Antibody

    Immunohistochemistry - NAT8 Polyclonal Antibody

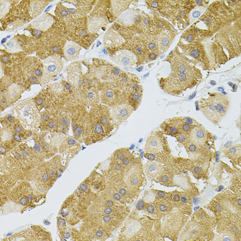
    Immunohistochemistry of paraffin-embedded human stomach using NAT8 antibody (40x lens).

  • Background
    Acetylates the free alpha-amino group of cysteine S-conjugates to form mercapturic acids. This is the final step in a major route for detoxification of a wide variety of reactive electrophiles which starts with their incorporation into glutathione S-conjugates. The glutathione S-conjugates are then further processed into cysteine S-conjugates and finally mercapturic acids which are water soluble and can be readily excreted in urine or bile. Alternatively, may have a lysine N-acetyltransferase activity catalyzing peptidyl-lysine N6-acetylation of various proteins. Thereby, may regulate apoptosis through the acetylation and the regulation of the expression of PROM1. May also regulate amyloid beta-peptide secretion through acetylation of BACE1 and the regulation of its expression in neurons.

Please note: All products are "FOR RESEARCH USE ONLY AND ARE NOT INTENDED FOR DIAGNOSTIC OR THERAPEUTIC USE"