NAPRT1 antibody

Cat.#: 107320

Size:

Special Price 239.0 USD

Availability: In Stock
- +

Add to cart to get an online quotation

Product Information

  • Product Name
    NAPRT1 antibody
  • Documents
  • Description
    NAPRT1 Mouse Monoclonal antibody. Positive IF detected in HeLa cells. Positive IHC detected in human small intestine tissue. Positive WB detected in HeLa cells, HEK-293 cells, HepG2 cells. Observed molecular weight by Western-blot: 51 kDa
  • Tested applications
    ELISA, WB, IHC, IF
  • Species reactivity
    Human, Mouse; other species not tested.
  • Alternative names
    FHA HIT interacting protein antibody; FHIP antibody; NAPRT1 antibody; NAPRTase antibody; PP3856 antibody
  • Isotype
    Mouse IgG2a
  • Preparation
    This antibody was obtained by immunization of NAPRT1 recombinant protein (Accession Number: NM_001363146). Purification method: Protein A purified.
  • Clonality
    Monoclonal
  • Formulation
    PBS with 0.02% sodium azide and 50% glycerol pH 7.3.
  • Storage instructions
    Store at -20℃. DO NOT ALIQUOT
  • Applications

    Recommended Dilution:

    WB: 1:500-1:5000

    IHC: 1:20-1:200

    IF: 1:50-1:500

  • Validations

    HeLa cells were subjected to SDS PAGE followed by western blot with Catalog No:107320(NAPRT1 Antibody) at dilution of 1:1500

    HeLa cells were subjected to SDS PAGE followed by western blot with Catalog No:107320(NAPRT1 Antibody) at dilution of 1:1500

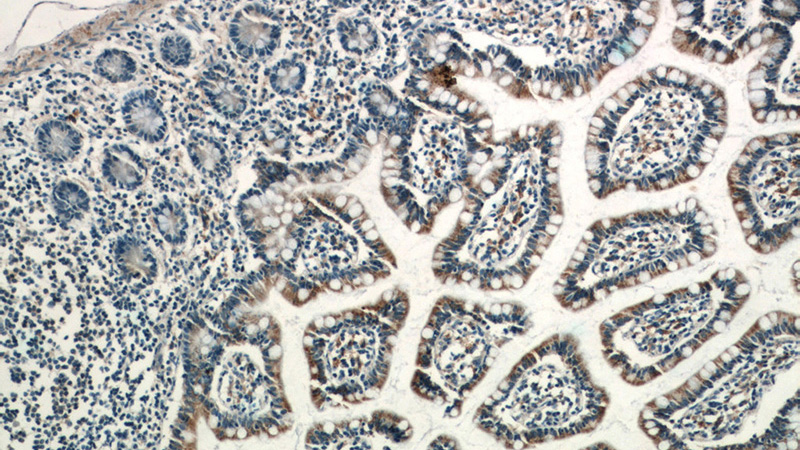
    Immunohistochemistry of paraffin-embedded human small intestine tissue slide using Catalog No:107320(NAPRT1 Antibody) at dilution of 1:50 (under 10x lens)

    Immunohistochemistry of paraffin-embedded human small intestine tissue slide using Catalog No:107320(NAPRT1 Antibody) at dilution of 1:50 (under 10x lens)

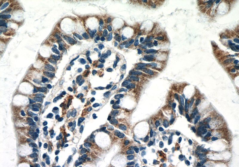
    Immunohistochemistry of paraffin-embedded human small intestine tissue slide using Catalog No:107320(NAPRT1 Antibody) at dilution of 1:50 (under 40x lens)

    Immunohistochemistry of paraffin-embedded human small intestine tissue slide using Catalog No:107320(NAPRT1 Antibody) at dilution of 1:50 (under 40x lens)

    Immunofluorescent analysis of (-20oc Ethanol) fixed HeLa cells using Catalog No:107320(NAPRT1 Antibody) at dilution of 1:100 and Alexa Fluor 488-congugated AffiniPure Goat Anti-Mouse IgG(H+L)

    Immunofluorescent analysis of (-20oc Ethanol) fixed HeLa cells using Catalog No:107320(NAPRT1 Antibody) at dilution of 1:100 and Alexa Fluor 488-congugated AffiniPure Goat Anti-Mouse IgG(H+L)

  • Background
    Nicotinic acid (NA) is a coenzyme in cellular redox reactions, and is an essential component of metabolic pathways in all living cells. NAPRT1 (Nicotinate phosphoribosyltransferase) is essential for increasing cellular NAD levels and, thus, to prevent oxidative stress of cells. NAPRT1 converts Nicotinic acid (NA; niacin) to NA mononucleotide (NaMN), which is then converted to NA adenine dinucleotide (NaAD), and finally to nicotinamide adenine dinucleotide (NAD).

Please note: All products are "FOR RESEARCH USE ONLY AND ARE NOT INTENDED FOR DIAGNOSTIC OR THERAPEUTIC USE"