N6AMT1 Polyclonal Antibody

Cat.#: 165249

Special Price 226.5 USD

Availability: In Stock
- +

Add to cart to get an online quotation

Product Information

  • Product Name
    N6AMT1 Polyclonal Antibody
  • Documents
  • Description
    Polyclonal antibody to N6AMT1
  • Tested applications
    WB, IHC, IF
  • Species reactivity
    Human, Mouse, Rat
  • Alternative names
    N6AMT1 antibody; C21orf127 antibody; HEMK2 antibody; MTQ2 antibody; N6AMT antibody; PRED28 antibody; m.HsaHemK2P antibody; hemK methyltransferase family member 2 antibody
  • Isotype
    Rabbit IgG
  • Preparation
    Antigen: Recombinant fusion protein containing a sequence corresponding to amino acids 1-186 of human N6AMT1 (NP_877426.3).
  • Clonality
    Polyclonal
  • Formulation
    PBS with 0.02% sodium azide, 50% glycerol, pH7.3.
  • Storage instructions
    Store at -20℃. Avoid freeze / thaw cycles.
  • Applications
    WB 1:500 - 1:2000
    IHC 1:50 - 1:200
    IF 1:50 - 1:100
  • Validations

    Western blot - N6AMT1 Polyclonal Antibody

    Western blot - N6AMT1 Polyclonal Antibody

    Western blot analysis of extracts of various cell lines, using N6AMT1 antibody at 1:1000 dilution._Secondary antibody: HRP Goat Anti-Rabbit IgG (H+L) at 1:10000 dilution._Lysates/proteins: 25ug per lane._Blocking buffer: 3% nonfat dry milk in TBST._Detection: ECL Enhanced Kit ._Exposure time: 90s.

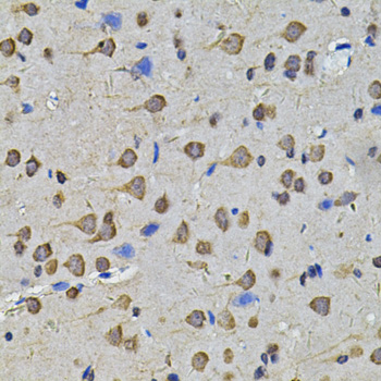
    Immunohistochemistry - N6AMT1 Polyclonal Antibody

    Immunohistochemistry - N6AMT1 Polyclonal Antibody

    Immunohistochemistry of paraffin-embedded rat brain using N6AMT1 Antibody at dilution of 1:100 (40x lens).

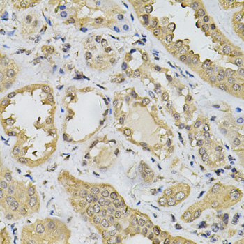
    Immunohistochemistry - N6AMT1 Polyclonal Antibody

    Immunohistochemistry - N6AMT1 Polyclonal Antibody

    Immunohistochemistry of paraffin-embedded human kidney using N6AMT1 Antibody at dilution of 1:100 (40x lens).

    Immunofluorescence - N6AMT1 Polyclonal Antibody

    Immunofluorescence - N6AMT1 Polyclonal Antibody

    Immunofluorescence analysis of A549 cells using N6AMT1 antibody . Blue: DAPI for nuclear staining.

  • Background
    Methyltransferase that can methylate both proteins and DNA, and to a lower extent, arsenic. Catalytic subunit of a heterodimer with TRMT112, which catalyzes N5-methylation of Glu residue of proteins with a Gly-Gln-Xaa-Xaa-Xaa-Arg motif (By similarity). Methylates ETF1 on 'Gln-185'; ETF1 needs to be complexed to ERF3 in its GTP-bound form to be efficiently methylated. Also acts as a N(6)-adenine-specific DNA methyltransferase by mediating methylation of DNA on the 6th position of adenine (N(6)-methyladenosine). N(6)-methyladenosine (m6A) DNA is significantly enriched in exonic regions and is associated with gene transcriptional activation. May also play a role in the modulation of arsenic-induced toxicity by mediating the conversion of monomethylarsonous acid (3+) into the less toxic dimethylarsonic acid. It however only plays a limited role in arsenic metabolism compared with AS3MT.

Please note: All products are "FOR RESEARCH USE ONLY AND ARE NOT INTENDED FOR DIAGNOSTIC OR THERAPEUTIC USE"