MYLK4 antibody

Cat.#: 112975

Size:

Special Price 239.0 USD

Availability: In Stock
- +

Add to cart to get an online quotation

Product Information

  • Product Name
    MYLK4 antibody
  • Documents
  • Description
    MYLK4 Rabbit Polyclonal antibody. Positive IHC detected in human tonsillitis tissue. Positive IP detected in HEK-293 cells. Positive WB detected in L02 cells, HEK-293 cells. Observed molecular weight by Western-blot: 45 kDa
  • Tested applications
    ELISA, WB, IHC, IP
  • Species reactivity
    Human; other species not tested.
  • Alternative names
    MYLK4 antibody; SgK085 antibody; Sugen kinase 85 antibody
  • Isotype
    Rabbit IgG
  • Preparation
    This antibody was obtained by immunization of MYLK4 recombinant protein (Accession Number: NM_001012418). Purification method: Antigen affinity purified.
  • Clonality
    Polyclonal
  • Formulation
    PBS with 0.1% sodium azide and 50% glycerol pH 7.3.
  • Storage instructions
    Store at -20℃. DO NOT ALIQUOT
  • Applications

    Recommended Dilution:

    WB: 1:500-1:5000

    IP: 1:200-1:2000

    IHC: 1:20-1:200

  • Validations

    L02 cells were subjected to SDS PAGE followed by western blot with Catalog No:112975(MYLK4 Antibody) at dilution of 1:1000

    L02 cells were subjected to SDS PAGE followed by western blot with Catalog No:112975(MYLK4 Antibody) at dilution of 1:1000

    IP Result of anti-MYLK4 (IP:Catalog No:112975, 4ug; Detection:Catalog No:112975 1:500) with HEK-293 cells lysate 3600ug.

    IP Result of anti-MYLK4 (IP:Catalog No:112975, 4ug; Detection:Catalog No:112975 1:500) with HEK-293 cells lysate 3600ug.

    Immunohistochemistry of paraffin-embedded human tonsillitis tissue slide using Catalog No:112975(MYLK4 Antibody) at dilution of 1:50 (under 10x lens)

    Immunohistochemistry of paraffin-embedded human tonsillitis tissue slide using Catalog No:112975(MYLK4 Antibody) at dilution of 1:50 (under 10x lens)

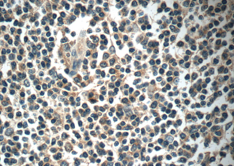
    Immunohistochemistry of paraffin-embedded human tonsillitis tissue slide using Catalog No:112975(MYLK4 Antibody) at dilution of 1:50 (under 40x lens)

    Immunohistochemistry of paraffin-embedded human tonsillitis tissue slide using Catalog No:112975(MYLK4 Antibody) at dilution of 1:50 (under 40x lens)

  • Background
    MYLK4(Myosin light chain kinase family member 4) is also named as SGK085 and belongs to the CAMK Ser/Thr protein kinase family. MLCKs are activated by Ca2+-calmodulin complexes and require Mg2+ or Ca2+ as a co-factor. It has 2 isoforms produced by alternative splicing.

Please note: All products are "FOR RESEARCH USE ONLY AND ARE NOT INTENDED FOR DIAGNOSTIC OR THERAPEUTIC USE"