-
Product Name
MYDGF antibody
- Documents
-
Description
MYDGF Rabbit Polyclonal antibody. Positive WB detected in DU 145 cells, COLO 320 cells, HeLa cells, Jurkat cells, Recombinant protein. Positive IF detected in HepG2 cells. Positive IHC detected in human liver cancer tissue, human colon cancer tissue, human lung cancer tissue. Observed molecular weight by Western-blot: 15-19 kDa
-
Tested applications
ELISA, IF, IHC, WB
-
Species reactivity
Human, Mouse; other species not tested.
-
Alternative names
C19orf10 antibody; EUROIMAGE1875335 antibody; R33729_1 antibody; SF20 antibody; UPF0556 protein C19orf10 antibody
-
Isotype
Rabbit IgG
-
Preparation
This antibody was obtained by immunization of MYDGF recombinant protein (Accession Number: NM_019107). Purification method: Antigen affinity purified.
-
Clonality
Polyclonal
-
Formulation
PBS with 0.1% sodium azide and 50% glycerol pH 7.3.
-
Storage instructions
Store at -20℃. DO NOT ALIQUOT
-
Applications
Recommended Dilution:
WB: 1:200-1:1000
IHC: 1:20-1:200
IF: 1:10-1:100
-
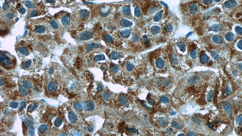
Validations
Immunohistochemistry of paraffin-embedded human liver cancer slide using Catalog No:112921(C19orf10 Antibody) at dilution of 1:50
Immunofluorescent analysis of HepG2 cells, using C19orf10 antibody Catalog No:112921 at 1:25 dilution and Rhodamine-labeled goat anti-rabbit IgG (red).
DU 145 cells were subjected to SDS PAGE followed by western blot with Catalog No:112921(C19orf10 Antibody) at dilution of 1:300
-
Background
C19orf10, also named as stromal cell-derived growth factor SF20, is an FLS-derived protein that is secreted into the synovial fluid.
Related Products / Services
Please note: All products are "FOR RESEARCH USE ONLY AND ARE NOT INTENDED FOR DIAGNOSTIC OR THERAPEUTIC USE"