MYBBP1A Polyclonal Antibody

Cat.#: 164327

Special Price 226.5 USD

Availability: In Stock
- +

Add to cart to get an online quotation

Product Information

  • Product Name
    MYBBP1A Polyclonal Antibody
  • Documents
  • Description
    Polyclonal antibody to MYBBP1A
  • Tested applications
    WB, IHC
  • Species reactivity
    Human, Mouse, Rat
  • Alternative names
    MYBBP1A antibody; P160 antibody; PAP2 antibody; Pol5 antibody; myb-binding protein 1A antibody
  • Isotype
    Rabbit IgG
  • Preparation
    Antigen: Recombinant fusion protein containing a sequence corresponding to amino acids 1104-1328 of human MYBBP1A (NP_055335.2).
  • Clonality
    Polyclonal
  • Formulation
    PBS with 0.02% sodium azide, 50% glycerol, pH7.3.
  • Storage instructions
    Store at -20℃. Avoid freeze / thaw cycles.
  • Applications
    WB 1:500 - 1:2000
    IHC 1:50 - 1:200
  • Validations

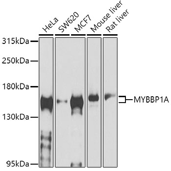
    Western blot - MYBBP1A Polyclonal Antibody

    Western blot - MYBBP1A Polyclonal Antibody

    Western blot analysis of extracts of various cell lines, using MYBBP1A antibody at 1:1000 dilution.Secondary antibody: HRP Goat Anti-Rabbit IgG (H+L) at 1:10000 dilution.Lysates/proteins: 25ug per lane.Blocking buffer: 3% nonfat dry milk in TBST.Detection: ECL Basic Kit .Exposure time: 60s.

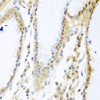
    Immunohistochemistry - MYBBP1A Polyclonal Antibody

    Immunohistochemistry - MYBBP1A Polyclonal Antibody

    Immunohistochemistry of paraffin-embedded human stomach using MYBBP1A antibody at dilution of 1:100 (40x lens).

  • Background
    May activate or repress transcription via interactions with sequence specific DNA-binding proteins (By similarity). Repression may be mediated at least in part by histone deacetylase activity (HDAC activity) (By similarity). Acts as a corepressor and in concert with CRY1, represses the transcription of the core circadian clock component PER2 (By similarity). Preferentially binds to dimethylated histone H3 'Lys-9' (H3K9me2) on the PER2 promoter (By similarity). Has a role in rRNA biogenesis together with PWP1.

Please note: All products are "FOR RESEARCH USE ONLY AND ARE NOT INTENDED FOR DIAGNOSTIC OR THERAPEUTIC USE"