-
Product Name
Muskelin antibody
- Documents
-
Description
Muskelin Rabbit Polyclonal antibody. Positive WB detected in Y79 cells, Jurkat cells. Positive IHC detected in human gliomas tissue. Observed molecular weight by Western-blot: 70-75 kDa
-
Tested applications
ELISA, WB, IHC
-
Species reactivity
Human,Mouse,Rat; other species not tested.
-
Alternative names
MKLN1 antibody; Muskelin antibody; TWA2 antibody
-
Isotype
Rabbit IgG
-
Preparation
This antibody was obtained by immunization of Muskelin recombinant protein (Accession Number: NM_013255). Purification method: Antigen affinity purified.
-
Clonality
Polyclonal
-
Formulation
PBS with 0.02% sodium azide and 50% glycerol pH 7.3.
-
Storage instructions
Store at -20℃. DO NOT ALIQUOT
-
Applications
Recommended Dilution:
WB: 1:200-1:1000
IHC: 1:20-1:200
-
Validations
Y79 cells were subjected to SDS PAGE followed by western blot with Catalog No:112901(MKLN1 antibody) at dilution of 1:1000
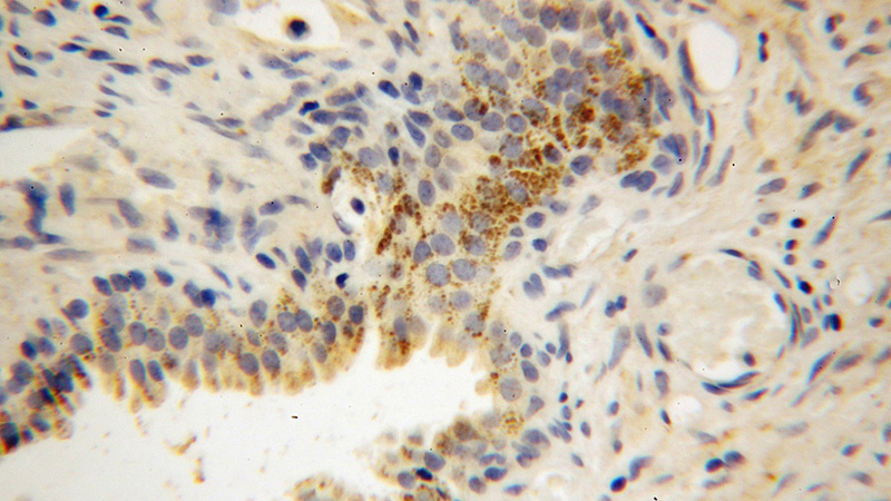
Immunohistochemical of paraffin-embedded human gliomas using Catalog No:112901(MKLN1 antibody) at dilution of 1:50 (under 40x lens)
-
Background
MKLN1 represents muskelin 1, intracellular mediator containing kelch motifs
Related Products / Services
Please note: All products are "FOR RESEARCH USE ONLY AND ARE NOT INTENDED FOR DIAGNOSTIC OR THERAPEUTIC USE"